患者,女,60岁,以“发现血压升高2年,肾上腺占位3个月。”入院, 现病史:患者于2年前发现血压升高,血压最高180/100mmHg,口服非洛地平5mg日一次口服,血压控制在140/80mmHg左右,3个月前因“肺炎”行CT检查时发现肾上腺占位。
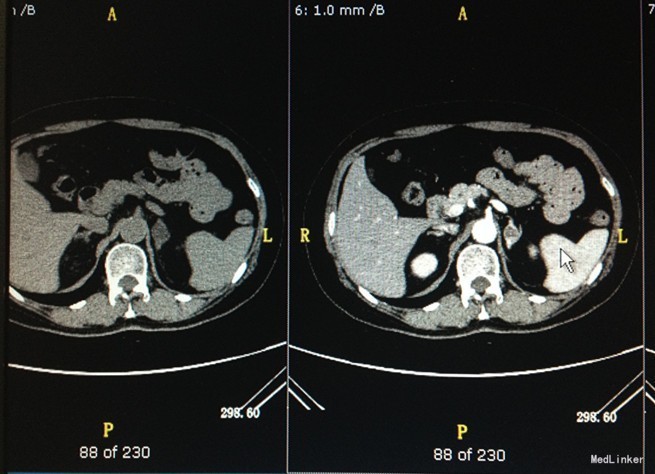
入院查体:无明显异常。 辅助检查: 肾上腺皮质激素系列 8:00 15:00 24:00 促肾上腺皮质激素测定ACTH 9.36pg/ml 7.9pg/ml 4.67pg/ml 皮质醇测定COR 545.9nmol/L 227.5nmol/L 137.7nmol/L 卧位 立位 血管紧张素II测定 41.00ng/mL 71.00ng/mL 血管紧张素I测定 0.53ng/mL 3.6ng/mL 醛固酮测定ALD 0.1ng/mL 0.14ng/mL 卧位 立位 血管紧张素II测定 29.00ng/mL 57.00ng/mL 血管紧张素I测定 0.27ng/mL 0.98ng/mL 醛固酮测定ALD 0.15ng/mL 0.18ng/mL 肝胆脾胰彩超:肝胆脾胰双肾膀胱未见明显异常,残尿量约:17ml。肾上腺增强:左侧肾上腺腺瘤可能性大,请结合临床。双肾小囊肿。


诊断:左肾上腺占位性病变 高血压 治疗:关于肾上腺占位,患者不愿行手术治疗,继续非洛地平降压。
讨论:目前, 对于肾上腺占位性疾病主张应常规行肾上腺内分泌功能测定及影像学检查, 对于有内分泌功能的肾上腺肿瘤、 有内分泌功能的寂静型肾上腺肿瘤, 直径≥4cm 者以及影像学检查疑为肾上腺皮质癌的患者, 应尽可能行手术治疗切除原发及转移性病灶, 对于无内分泌功能、 良性、 直径在 4cm 以下者可定期复查, 随诊观察, 如肿瘤有增大的趋势, 则应手术切除;对于肾上腺囊肿、 髓脂瘤、 肾上腺结核者则无手术必要。