患者,男,61岁,以"间断头晕、头迷3年"入院, 现病史:患者3年前无明显诱因出现头晕、头迷症状,血压最高曾达224/120mmHg,自行服用"心痛定、罗布麻"降压治疗,血压可控制于140-150/80-90mmHg,但头晕、头迷症状仍间断发作,自诉曾饮酒后出现腰膝酸软、下肢无力症状,休息后上述症状可缓解,未系统诊治。
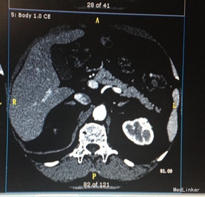
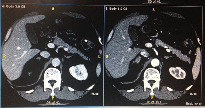
入院查体: BMI:25.39Kg/m2,右下肢活动受限,肌力正常,无畸形,无关节痛,右下肢麻木。 辅助检查:腹部超声:脂肪肝超声所见前列腺内结石或钙化。肾上腺CT:双侧肾上腺占位,请结合临床。左肾囊肿。血脂分析:TG 3.46mmol/L,TC 5.90mmol/L,LDL-C 4.06mmol/L。OGTT及胰岛功能试验未见明显异常。24小时动态心电图:窦性心律/偶发房性早搏、成对房性早搏、短阵房性心动过速/偶发室性早搏、多源室性早搏/ST-T段改变。24小时动态血压:平均血压134/90mmHg,昼夜血压节律异常(非杓型),昼夜血压负荷升高 肾上腺皮质激素系列: 8:00 15:00 24:00 ACTH 15.50 15.45 3.59 COR 386.6 298.1 166.20 肾上腺皮质醇节律及小剂量地塞米松试验 8:00 15:00 24:00 7:00 7:15 ACTH 36.08 14.7 9.08 15.7 17.62 COR 514 284.5 113.5 356 313.3 抑制率:34% 小剂量地塞米松抑制试验(标准法) 8:00 7:00 7:15 COR 241.1 27.17 18.32 ACTH 20.79 2.77 2.49 醛固酮立卧位:(第1、2套) 卧位 立位 卧位 立位 醛固酮 0.11 0.18 0.16 0.17 PRA 0.04 3.2 0.58 5.5 比值 275 5 27 3 醛固酮立卧位(第三套) 卧位 立位 醛固酮 0.14 0.14 PRA 1.4 6.8 比值 10 2.05 卡托普利试验抑制试验: 给药前 1小时 2小时 醛固酮 0.15 0.14 0.14 PRA 9.1 5.6 6.2 比值 116 93 81 试验结果提示未被抑制



诊断:双侧肾上腺占位;高血压;血脂异常症 治疗:拜新同降压,立普妥降脂
住院期间对症给予拜新同控制血压,监测24小时控制血压结果基本正常,后多次院内监测血压结果波动于125-145/80-95mmHg,监测3次血离子血钾均在正常范围,完善各功能试验,虽卡托普利试验未被抑制,但诊断功能性肾上腺肿物证据不足。