打开应用

罕见病例!腹腔促结缔组织增生性小圆细胞肿瘤

苗医师   山东省肿瘤防治研究院
肿瘤

主诉 病史

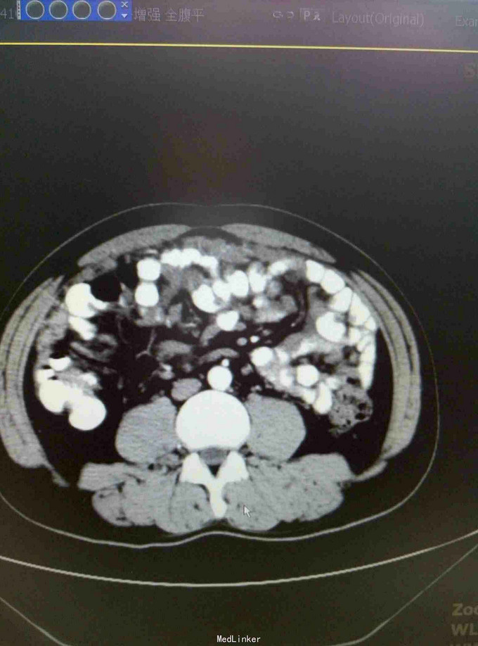
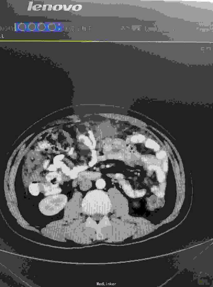
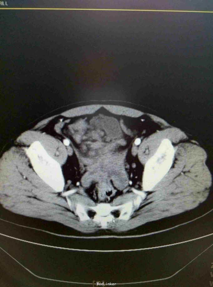
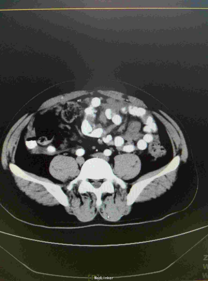
患者15年6月因腹胀就诊某医院行CT:疑似自发性腹膜炎,给予抗炎治疗。9月15日送检腹水发现增生间皮细胞。后去省影像中心行CT示:腹膜广泛增厚,强化,符合转移。后就诊我院腹膜肿物穿刺病理:促结缔组织增生性小园细胞瘤。后期贝伐单抗,IFO,THP,VCR,治疗。目前治疗中……

发布于 15-12-08 11:53

6 个评论

发送