打开应用

下前牙种植病例

王医师   空军军医大学口腔医学院

主诉 病史

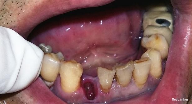
患者,男,45岁,右侧下颌侧切牙严重龋坏,拔除后要求种植修复,平素体质一般,无药物、食物过敏史,无高血压、心脏病等系统病史

查体 辅查

牙科CT检查骨量适中,适合种植

诊断 处理

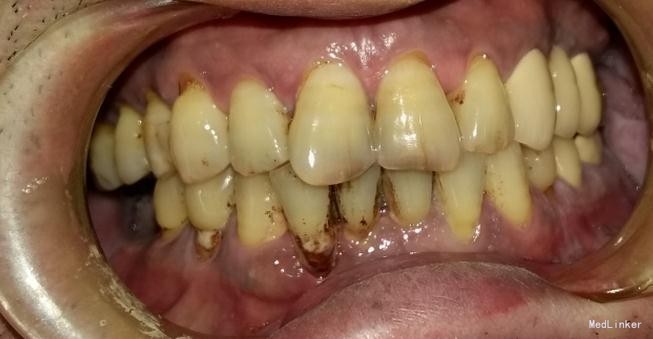
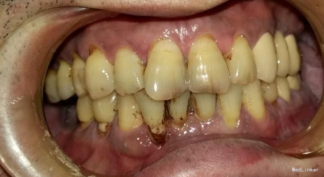
种植修复

随访 讨论

效果很好,患者满意

发布于 15-12-04 16:23

6 个评论

发送