下载或打开 医联APP 查看完整评论
立即下载
打开APP
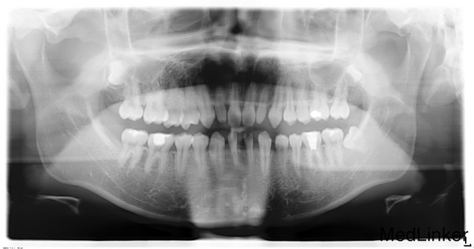
主诉:正畸科转诊咨询种植方案 现病史:患者先天缺失两下前牙,牙齿排列稀疏,遂至本院正畸科治疗,正畸科制定方案后转种植科咨询方案 既往史:无特殊
检查:下侧切牙双侧缺失,缺牙间隙约有1cm,其余无特殊 全景片示:下侧切牙双侧缺失

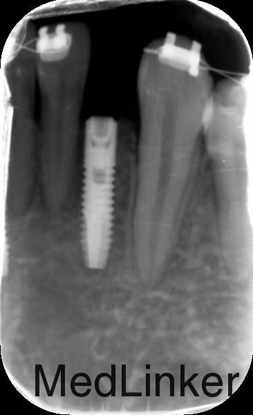
治疗:1、联合正畸科治疗,正畸科移动双侧中切牙至中线两侧后留出位置行种植治疗 2、常规消毒铺巾局部麻醉,切开翻瓣,植入Astra种植体3.0*8mm种植体两枚,严密缝合





多学科联合治疗是未来的趋势,这个病例患者先天缺牙,且间隙大,可先做正畸治疗腾出缺牙空间行种植治疗,种植治疗后已高基台保持间隙