下载或打开 医联APP 查看完整评论
立即下载
打开APP
打开应用
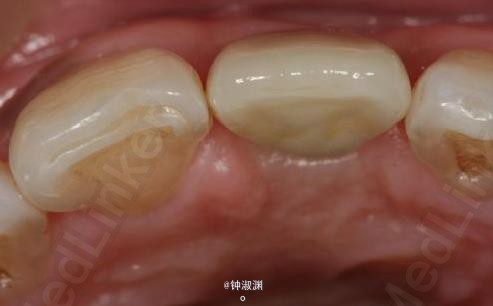
前牙种植病例
高医师
乐陵王氏牙科诊所
主诉 病史
患者,男,30岁,为21号牙齿缺失要求种植。平素体质一般,无药物、食物过敏史。
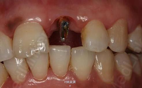
诊断 处理
种植修复
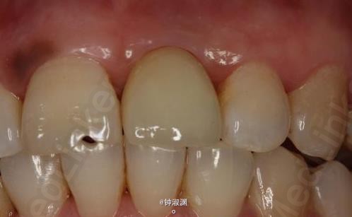
随访 讨论
恢复良好,患者满意
发布于 15-06-19 00:24
医联推荐你看
前牙种植病例1例
前牙种植
前牙种植病例
共
4
个评论
查看更多评论
发送
0