下载或打开 医联APP 查看完整评论
立即下载
打开APP
间断性上腹部隐痛,加重两月余。 于15年前左上腹间断隐痛,可忍,伴肩背部放射,活动后缓解,无恶心呕吐,大小便正常,未行特殊处理。2月前,上述症状出现并加重,伴腹泻,伴肩背部放射,无皮肤粘膜黄染。
巩膜无黄染,心肺无异常,腹部平坦,无腹壁静脉曲张,肠鸣音未见异常,左上腹压痛(-),无反跳痛,腹部未触及包块,肝脾肋下未及,Muephy(-),双肾区叩击痛(-),移动性浊音(-)









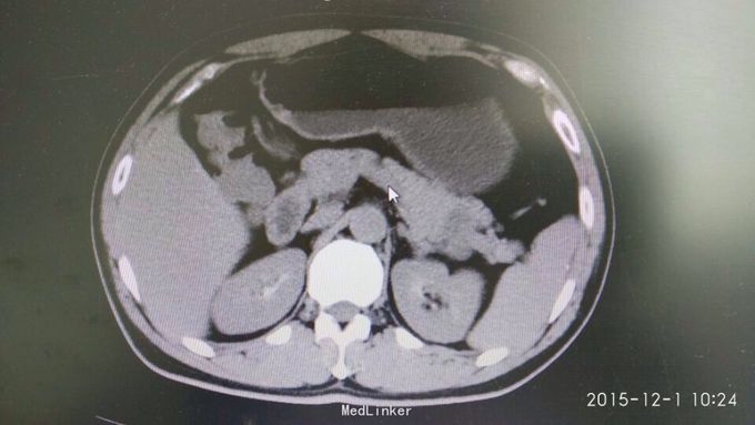
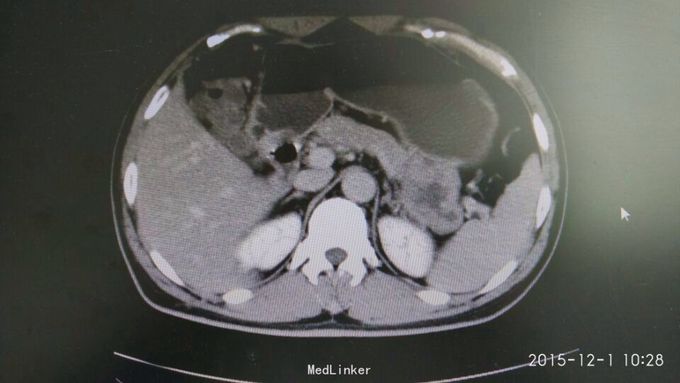
胃间质瘤 拟行胃间质瘤切除术
瘤体较大,超过5cm,术中注意与胰腺关系,如果压迫胰腺或压迫脾脏血管,是否考虑部分胰腺切除及脾切除,是否考虑胃空肠吻合。