打开应用

腹腔镜肝血管瘤切除

孙医师   中国医科大学附属盛京医院
海绵状血管瘤 海绵状血管瘤 血管瘤

主诉 病史

主诉: 体检发现肝血管瘤10年。 病史:患者十年前体检发现肝多发血管瘤,无发热,无恶心呕吐,无腹痛或腹胀,未在意。近期发现血管瘤逐渐增大,现为求进一步诊治就诊于我院。门诊以“肝血管瘤”为诊断收入我科。病来睡眠饮食可,二便如常,体重无明显减轻。

查体 辅查

查体: 腹部平坦,未见胃肠型及蠕动波,未见腹壁静脉曲张,全腹软,无压痛,无反跳痛或腹肌紧张,未及腹部肿物,Murphy征阴性。肝脾肾区无叩击痛。移动性浊音阴性。肠鸣音4次/分。 辅查: BUS 提示肝脏大小属正常范围,肝内见多个高回声团,较大者位于右叶,大小约5.6x4.2cm,边界清。 门静脉主干直径约1.0cm。 肝内外胆管未见扩张。 胆囊大小约5.3x1.8cm,壁厚约0.2cm。 脾肋间厚约3.0cm。 胰腺大小、形态正常,主胰管未见扩张,胰腺未见明显占位性病变。

诊断 处理

诊断: 肝血管瘤 治疗:全麻下腹腔镜探查,见胆囊无异常,右叶后下段2枚血管瘤,大者直径5.4厘米,外生性,小的直径3厘米,扁平状,左叶脏面可见2厘米扁平血管瘤,术中诊断肝多发血管瘤,2枚较小血管瘤直接腔镜下电烧消除,较大的肝血管瘤继续腔镜下包膜外剥脱。手术时间130分钟,术中失血500毫升。 术后病理,镜下见大小不等,形状不规则的血管,病理诊断:(肝右叶)海绵状血管瘤。

随访 讨论

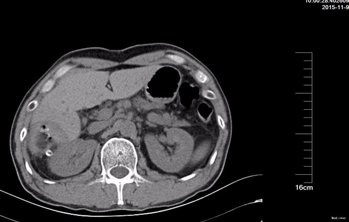
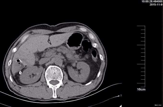
术后复查CT, 肝脏S4段及S6段可见两个低密度占位,与周围肝实质界限欠清,大小分别约25×16mm、51×48mm,前者边缘少量气泡;后者内可见气泡和少量稍高密度影,邻近导管外引流,周围脂肪间隙渗出改变。术后四天腹腔引流20毫升,予以拔除,病人出院。该血管瘤外生性,直径超过5厘米,尽管血管瘤恶变几率很低,但是肝血管瘤确实可以破裂出血,尤其像这样的外生性血管瘤。腔镜下切除肝血管瘤,由于控制出血比较可能,再加上容易破裂,总体上术中出血会比开腹多,手术时间也可能比开腹时间长,但是腹壁无大刀口,术后恢复确实比开腹手术快很多,保守估计,术后至出院时间比开腹手术的缩短1倍,患者受益,值得开展。

发布于 15-12-03 11:34

13 个评论

发送