下载或打开 医联APP 查看完整评论
立即下载
打开APP
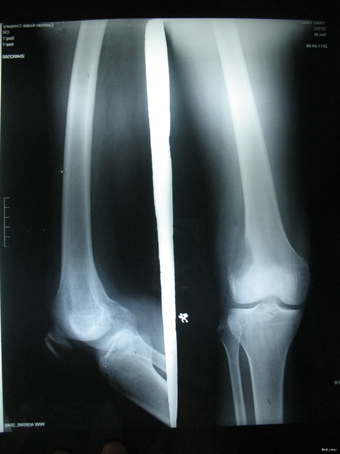
右膝上疼痛2个月肿胀一周 患者2个月前无明显诱因出现右膝上疼痛,逐渐加重,一周前活动后加重明显并开始出现肿胀,右膝关节活动受限,于当地医院行CT及MRI检查考虑为恶性肿瘤,遂来我院治疗。
右膝上股外侧肿胀明显,压痛(++),皮温略高,皮色正常,右膝关节屈伸活动明显受限。






入院后完善相关检查,诊断为股骨恶性肿瘤,考虑为骨肉瘤。切取部分肿物病理活检。病理明确诊断股骨骨肉瘤后,给予新辅助化疗。化疗效果明显,手术行瘤段切除人工假体置换术。





患者术后给予辅助化疗,早期康复锻炼,至今功能良好,未见复发。