打开应用

左下8水平阻生拔除

李医师   空军军医大学口腔医学院

主诉 病史

患者,男,25岁,要求拔除左下颌水平阻生牙齿,平素体质一般,无药物、食物过敏史,无高血压、心脏病等系统病史

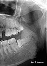
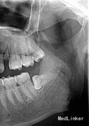
查体 辅查

行曲面断层片

诊断 处理

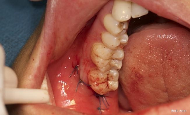
拔除术

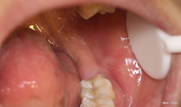
随访 讨论

效果很好,患者满意

发布于 15-11-30 15:59

5 个评论

发送