下载或打开 医联APP 查看完整评论
立即下载
打开APP
患者女,25 主诉: 要求拔牙。 现病史: 3天前,患者感左下后牙疼痛,食物嵌塞,咀嚼不适。自服消炎药后好转,前来就诊。 既往史: 体健,否认药敏史。

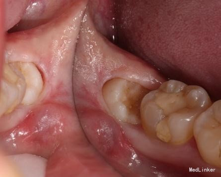
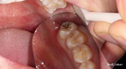
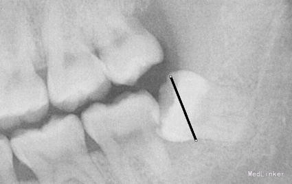
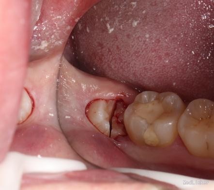
检查: 18.28颌面龋坏,质地软,牙颈部脱矿,叩诊(-),不松动。 37玻璃充填物,叩诊(-),不松动,冷热刺激正常。 38近中水平阻生,牙龈无红肿,叩诊(-),探诊有盲袋,盲袋内食物碎屑。 47缺失多年,48近中向移位,间隙1mm,叩诊(-),不松动。



治疗计划:18、28,38拔除。 37重新充填。 48观察。 治疗:28局麻下拔除。 38阻滞下拔除。








拔牙常用牙挺的三步骤、 第一步、楔法:置挺时,插入牙根与牙槽骨之间,然后施力,边旋动,边楔入,使牙在牙槽窝内逐渐松动 ↓ 第二步、推法:将挺刃插在所拔牙牙齿的近中面或颊侧面与牙槽骨之间,使挺刃的凹面朝向根面凸面支靠在颊侧近中牙槽嵴上作为支点。用靠近冠部的挺刃推动所拔牙,使该牙受力后被推向远中或者舌侧而松动,但不包含使牙脱出牙槽的力。 其实说白了推法楔法差不多,只是用力方向幅度大小不同。 楔是向下楔入,推是增大间隙。 第三步、挺法:置放方法与推法一致,只是用力方向变了。向远中面方向旋动牙挺时,使紧贴颈部根面的挺刃向所患牙使力,使其受力后被挺向远中并向合面方向移动。再逐渐加大牙挺旋动的幅度,并将挺刃逐渐向牙槽内插入(配合楔法),牙的松动度也随之增大。最后,使该牙将向合面与远中的合力方向松动脱位。