下载或打开 医联APP 查看完整评论
立即下载
打开APP
体检发现纵隔肿瘤2周 患者2周前外院体检行胸部CT提示右前上纵隔肿瘤,该院PET/CT考虑胸腺癌可能,无发热,无呕吐,无胸闷气促,无咳嗽咳痰。
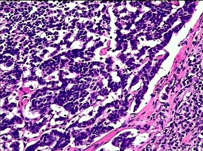
查体:无特殊。 辅查:外院PET/CT:纵隔肿瘤,胸腺癌可能。术后病理示:(胸壁肿物、纵膈结节、前胸壁肿物)非典型类癌。(胸腺上极)增生的纤维、脂肪和血肿,未见肿瘤。(左侧胸壁肿物)增生的纤维、脂肪组织内可见散在萎缩的胸腺,未见肿瘤。(左侧胸壁肿物)主要为纤维、脂肪组织伴出血明显。
诊断:胸腺非典型类癌 治疗:患者入院后完善各项检查,未见手术禁忌症,做好术前准备后行正中开胸胸腺扩大切除术+上腔静脉重建术,术后恢复良好。

胸腺神经内分泌细胞肿瘤分为两大类,一类是胸腺类癌,另一类是胸腺小细胞癌。1/3~1/2 的患者在手术确诊前无症状,于胸部 X 线检查中无意发现。而少数患者仅有前胸疼痛、咳嗽、咯血、气促等非特异性症状。