25 岁黑人男性,因左侧胸痛伴咳嗽 3 天就诊。胸痛为压榨样疼痛,无向别处放射,随着活动而加重,处于 45 度卧位时疼痛缓解。患者无发热、寒战、盗汗、双下肢水肿,但在过去的几个月间体重增加 4-6kg。 出现咳嗽两周前,出现黄色鼻部分泌物,无面部肿胀或压痛。既往无任何慢性疾病和用药史。无化学物质、有毒烟雾或粉尘暴露史,无烟酒嗜好。
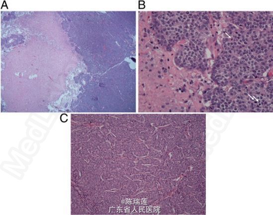
生命征未见异常,体查结果均正常,包括无睾丸病变,无淋巴结病变和无甲状腺肿大。胸部听诊,呼吸音清,无心脏杂音。腹部体查无肝脾肿大和无血管杂音。无皮肤病变。 胸片可见左纵隔肿物(图 1A)。进一步采用 CT 增强扫描可见前纵隔有一 10×7cm 的密度均一的肿物(图 1B)。 实验室检查:乳酸脱氢酶,α- 胎蛋白,β2 微球蛋白,促甲状腺素,甲状旁腺素,钙离子浓度,黄体生成素、卵泡刺激素均正常。淋巴瘤和 HIV 检测均阴性。 组织病理学可见肿瘤细胞形态均一,细胞核呈圆形,染色质均一。在坏死区域,每 10 个高倍视野可见 7 个细胞分裂象(图 2)


诊断:非典型性胸腺类癌 处理:患者多发性内分泌腺瘤致病因子 1(MEN1)综合征检测阴性,包括去甲肾上腺素水平,游离肾上腺素水平,和甲状旁腺素和钙离子水平均正常。头部 CT 扫描和 PET CT 均未发现肿瘤转移。CT 介导针吸活检可见颗粒样结构,符合神经分泌性肿瘤(NETs)改变,可以排除淋巴瘤和胚胎细胞瘤。患者接受手术完全切除肿瘤,术中进行复杂的无名静脉切开,保留左侧膈神经,并进行了淋巴结活检。 DOI: 10.1378/chest.13-1444
患者术后恢复良好,两天后出院回家。嘱以后每 4 个月行 CT 检查和检测血清嗜铬粒蛋白和 5- 羟吲哚乙酸水平以明确复发情况。 胸腺神经内分泌细胞肿瘤分为两大类,一类是胸腺类癌,另一类是胸腺小细胞癌。1/3~1/2 的患者在手术确诊前无症状,于胸部 X 线检查中无意发现。而少数患者仅有前胸疼痛、咳嗽、咯血、气促等非特异性症状。