下载或打开 医联APP 查看完整评论
立即下载
打开APP
主诉:发现左侧额颞部包块2年余 病史:患者63岁女性,2年前无明显诱因出现左侧额颞部包块,无压痛等症状。1个月前开始出现左侧额颞部麻木不适,于外院查头颅MR提示:左侧额颞部占位。

查体:左侧额颞部可扪及一3*3大小隆起,无红肿,溃疡等。左侧眼球突出。 辅助检查,我院MR提示:左侧蝶骨大翼,额颞骨、中颅窝低,左眶顶璧、外侧璧骨质破坏,考虑恶性肿瘤的可能性较大。


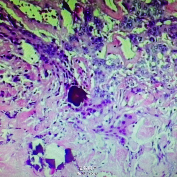
诊断:左侧额叶非典型脑膜瘤 处理:行左额占位切除术➕颅骨重建术,病理提示非典型脑膜瘤

随访:术后患者出现右侧中枢性面瘫……后缓解出院。 讨论:本患者属于非典型脑膜瘤,非典型性脑膜瘤是介于良性脑膜瘤和恶性脑膜瘤之间的中间型肿瘤,2000年世界卫生组织(WHO)的分类中将其定为Ⅱ级,属低度恶性肿瘤 ,可行手术切除治疗。
