下载或打开 医联APP 查看完整评论
立即下载
打开APP
主诉:上前牙外伤1年余 现病史:患者于1年前溜冰加速后摔倒在地,上前牙未见异常,后逐渐变色,因美观要求,今至我科就诊,要求治疗。 既往史:无特殊
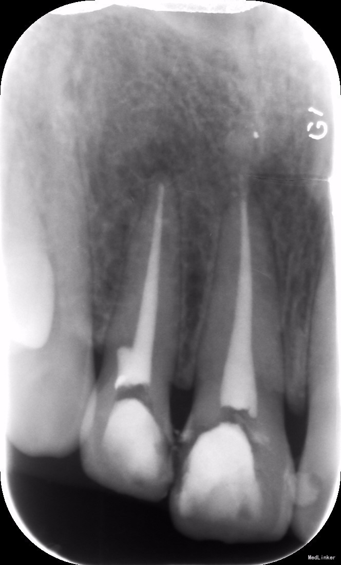
检查: #11,#12牙体变色,色暗,未见明显牙体缺损、龋坏,#11 #12 叩(+-),松(-),冷热测及电测无反应,牙龈未见明显异常。 X线示:#11#12根尖周未见明显阴影

诊断:#11#12牙髓坏死 治疗: 治疗前跟患者进行沟通,让患者充分了解治疗的费用及过程,患者表示知情同意。 #11#12碧兰麻下开髓、揭全顶,拔髓,次氯酸钠和双氧水交替超声冲洗,测量工作长度,根管预备,封Ca(OH)糊剂2两周,ZOE暂封。 两周后复诊检查,患牙无叩痛,暂封存。去暂封,次氯酸钠和双氧水交替超声冲洗,再次测量工作长度,干燥,热牙胶充填。树脂充填治疗。
不适随诊,2周后转诊修复科进一步治疗。 牙髓坏死的患牙一般无自觉症状,牙冠可存在深龋洞或其他牙体硬组织疾患,或是有充填体、深牙周袋等。牙冠变色,呈暗黄色或灰色,失去光泽。 牙髓活力测验无反应。X线片显示患牙根尖周影像无明显异常。凭借以上几点以及病史询问可以基本确定。 牙髓坏死变色,所以做修复的时候不要选择透光性太好的贴面。