下载或打开 医联APP 查看完整评论
立即下载
打开APP
主诉:外伤致左上前牙疼痛1小时 现病史:患者于1小时前骑摩托车遭遇车祸后摔倒在地,致前牙折断,疼痛,遂至我院就诊,要求治疗。 既往史:3年前曾因”阑尾炎“行阑尾切除术

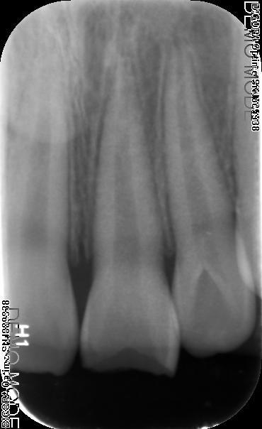
检查:#21 牙冠折断约2mm,叩(+-),松(I°),见露髓孔,冷热侧一过性敏感,电测无活力,牙龈稍红肿

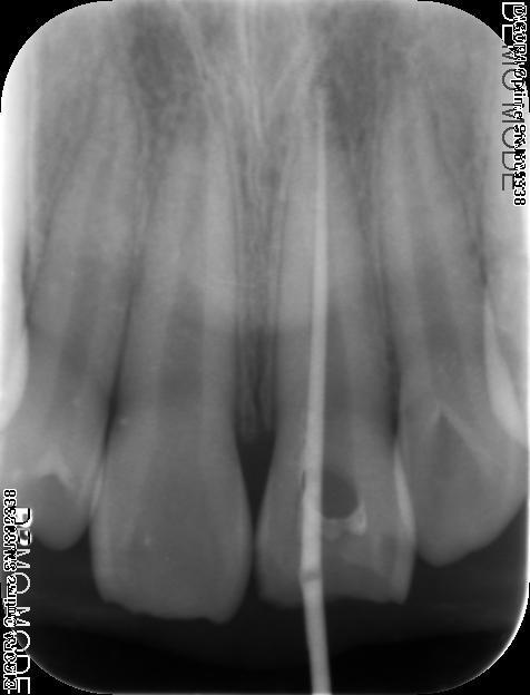
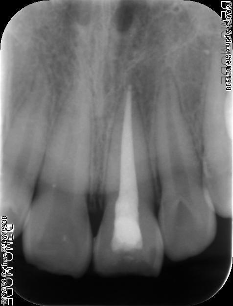
诊断:#21冠折 治疗:#27碧兰麻下开髓,清理髓腔及根管,双氧水和生理盐水交替冲洗,测WL,拍片试尖达工作长度,根管内导入糊剂,侧压充填中下段,热牙胶充填上段,X线示恰填,树脂充填修复。

外伤致穿髓可行一次性根备根充