下载或打开 医联APP 查看完整评论
立即下载
打开APP
患者女,21岁,面部丘疹、背部斑块10余年,无疼痛、瘙痒等异常症状,无癫痫病史。其他无特殊不适。
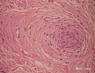
入院后检查:额面部多发于肤色相近的丘疹,数个淡红色斑块,斑块面积在1cm至2cm之间,背部也有类似皮损。病理检查:真皮中下部增生的胶原纤维较粗并呈束状排列,有许多明显扩张的血管而且在多数血管周围见有程度不同的纤维化。


诊断为血管纤维瘤,患者想要达到面部美观效果,想要激光冷冻治疗。
血管纤维瘤通常是指结节性硬化症,表现为鼻唇沟、颊部及颏部淡黄色丘疹或结节状损害,病理组织学以真皮胶原纤维增生、毛细血管数目增多、扩张及管周纤维化为特征。该病在病理学上虽属良性肿瘤,但临床上却具有局部扩展性生长以及复发率高等特点。对于本例,大家推荐什么治疗方法?面积稍大点的斑块选择激光还是切除?