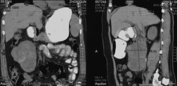
主诉:发现腹腔肿物1月余。 患者中年女性,在当地B超现实右侧中上腹软组织占位,行腹部增强CT显示右上腹腹膜后占位,考虑1、胰头实性假乳头状肿瘤,2、间质瘤,3、纤维肉瘤不能排除;脾大,右肾囊肿。当地B超引导穿刺活检:胰腺肿瘤,实性假乳头状肿瘤可能性大。为进一步手术治疗,来我院就诊。发病以来,患者无恶心呕吐、寒战高热,无腰背部放射痛,无皮肤巩膜黄染,食欲尚可,体力较好,体重无明显变化,二便正常。既往高血压病史16年,口服硝苯地、依那普利控制。







查体:腹稍隆,未见胃肠形,肠鸣音正常,约4次/分,未见腹壁静脉曲张,叩诊鼓音,肝脾肋下未及,脐右上可触及大小约10*10质韧肿块,边界清晰,无触痛,活动度稍差,墨菲氏征阴性;肝肾区无叩击痛,腹部无压痛及反跳痛,移动性浊音阴性。 辅查:外院B超、腹部CT、穿刺病理结果见病史。入院查:RBC 3.52*10^12/L,Hb 94g/L,余三大常规、凝血、病毒免疫、血脂未见明显异常。入院后MRI示:1、十二指肠降段近胰头区软组织肿块,考虑胰头钩突来源,实性假乳头状肿瘤肯能性大。2、慢性胆囊炎。3、双肾多发囊肿。
诊断:胰腺实性假乳头状肿瘤。 治疗:排除手术禁忌证后行胰头肿物切除术;术中探查肿块主体位于腹膜后,肿块外侧界位于十二指肠降部内侧,下届位于脐下4cm,内界位于腹主动脉前方,上界位胰头部,肿块活动度尚可,从十二指肠降部侧壁打开后腹膜,分离胰头和十二指肠,打开侧腹膜,将右半结肠推向左侧,见肿块包膜完整,沿肿块包膜分离结肠系膜与周围疏松组织,kocher法将胰头及肿块翻起至腹主动脉左侧,进一步沿肿块包膜分离,发现肿物上缘同胰头部胰腺包膜延续,范围约1.5*2cm,考虑肿瘤来源于胰头部,外生性生长,遂沿肿瘤基底部使用电刀完整切除肿瘤,靠近胰头小网膜处放置引流管一根。术后给予抗炎、制酸、抑酶等治疗,术后查引流管淀粉酶升高,改双腔冲洗管引流5天,淀粉酶指标降低,改单套管后,患者病情稳定,出院修养。10天后回院未见明显引流液,拔出引流管,无不适。

目前随访中。 实性假乳头状肿瘤是一种胰腺外分泌肿瘤,多发于女性,发病率低且术前诊断较为困难。此患者因为肿瘤大,位置相对表浅,可以术前行穿刺活检明确病理。改患者比较幸运,肿瘤仅同一线包膜有少许粘连,只需完整切除肿瘤即可,预后一般较好。