下载或打开 医联APP 查看完整评论
立即下载
打开APP
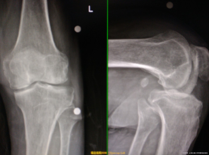
主诉:左侧膝关节内侧疼痛1年 病史:患者1年前无明显诱因下逐渐出现左膝关节痛,以左膝内侧疼痛为著,有晨轻墓重感,行走时加重,不影响睡眠,关节稍肿胀,无活动障碍、发热及肢体麻木等伴随症状,口服“双氯酸钠、抗骨质增生片”疼痛明显缓解,近半年来,天来患者感左膝关节疼痛较前加重,伴跛行,外院X线读片示左膝退行性变。门诊拟“左膝骨关节炎”收治入院。 患者自发病以来,神清,精神可,胃纳睡眠可,二便无殊,体重无明显变化。
查体、辅查 查体: 神清,精神可,左膝关节轻度内翻畸形,稍肿胀,左膝关节内侧压痛,内外侧稳定性可,侧方应力试验及抽屉试验阴性,膝关节内侧压痛明显 辅查:。X片示膝关节退行性病变,内侧间隙变窄

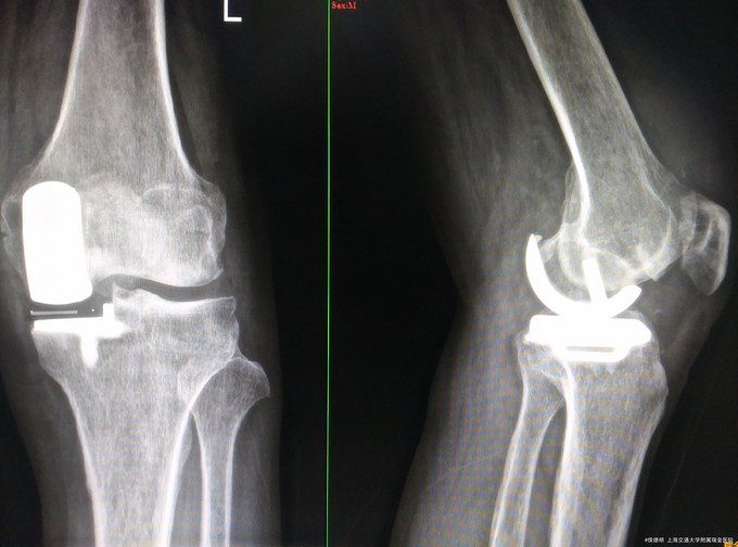
诊断: 左侧膝关节退行性病变 处理:左侧膝关节单髁置换术

随访: 术后1周膝关节屈伸活动好,术后2周手术切口愈合好。 讨论: 对于单髁置换术后的患者,请讨论抗凝的方法和抗凝时间。术后是否使用关节松动训练?