下载或打开 医联APP 查看完整评论
立即下载
打开APP
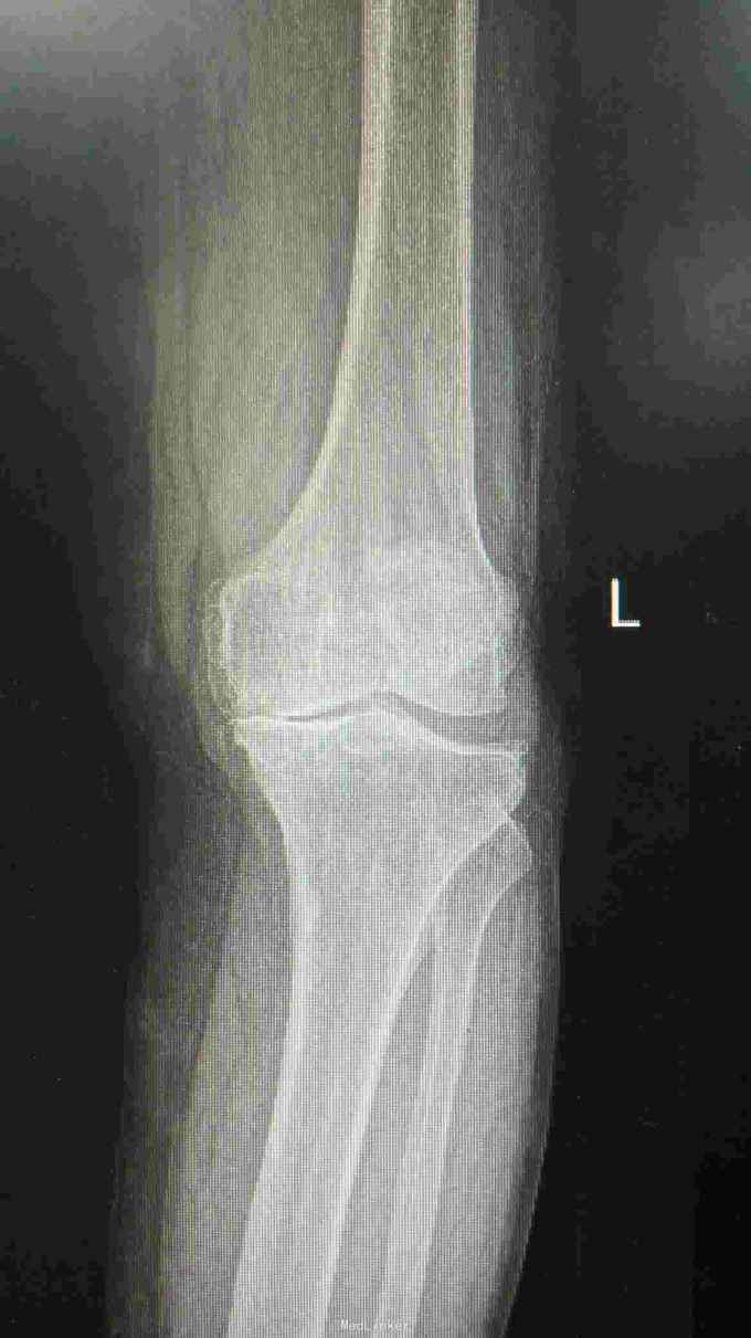
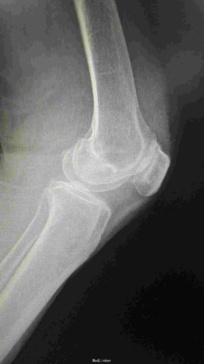
76岁女性,左膝关节疼痛5年,加重1月。平时以活动痛为主,最近一月疼痛明显,影响行走。既往体检。
左膝轻度内翻畸形,皮温稍高,膝关节前内侧压痛阳性,内外侧方应力试验阴性,前后抽屉试验阴性。屈伸活动度0---110度。 入院辅助检查:血常规、ESR、CRP、PCT均在正常范围。心肺功能可。


诊断:左膝关节骨性关节炎 治疗:左膝关节单髁置换术


术后第一天下地,1周出院,出院时屈伸活动度0---110度 讨论:虽然患者年龄大,但病变局限于单间室,行单髁置换仍未较合理选择,手术创伤小,恢复快。术前备用了全膝置换器械,如果前交叉韧带断裂需行全膝关节表面置换术。