打开应用

46牙根管治疗1例

龚医师   四川大学华西口腔医院
慢性牙髓炎 牙髓炎

主诉 病史

主诉:右下后牙冷热刺激痛3周 现病史:患者3周前开始出现右下后牙冷热刺激痛,后出现短暂自发痛,无放射痛,偶有夜间痛,现自觉症状缓解。 既往史:患者否认高血压、糖尿病、心脏病等病史,无肝炎等传染性疾病,无药物过敏。

查体 辅查

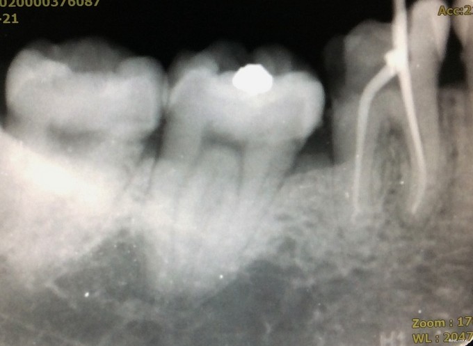
检查:46牙合面见大面积树脂充填物,部分树脂材料脱落,远中可探及继发龋,深,可探及穿髓孔,冷刺激迟钝,热刺激迟钝,电活力测试58,探(+),叩(-);牙龈及牙槽粘膜未见窦道,根尖区扪诊无不适。 X线检查:牙体组织见大面积高密度影,远中影像密度减低,累及髓腔;根尖周未见低密度影;远中牙槽嵴顶高度降低。

诊断 处理

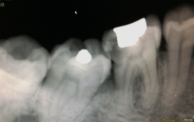
诊断:46牙慢性牙髓炎 治疗:46牙根管治疗+充填修复+桩冠修复 治疗经过: 首诊:去除原树脂充填物,去净龋坏,开髓,止血,封“三聚甲醛”。 首次复诊:46牙上橡皮障,揭全随室顶,显微镜下探查根管口,3根管牙,清理髓腔,#08,#10,#15不锈钢K锉疏通根管,根测仪测量根管长度,近颊根19mm,近舌根18.5mm,远中根20mm;EDTA润滑剂作用下,机用镍钛器械Protaper清扩至#2506锥度,远中根#3004,K锉疏通至#40;示尖到位;超声荡洗,次氯酸钠冲洗,干燥,根管内封氢氧化钙,髓腔置干棉球,CAVITON暂封。 二次复诊:46牙上橡皮障,去暂封,荡洗根管,次氯酸钠冲洗,干燥根管,AH糊剂加大椎度牙胶充填根尖段根管,热牙胶封闭上段根管;远中根预备纤维桩道,粘接纤维桩,行牙体树脂粘接修复。建议观察1周,若无明显不适,至修复可行冠修复。建议牙周科会诊46牙。

随访 讨论

讨论: 1、下颌第一磨牙3根管最常见,上图清晰展示了开髓后根管口的分布。寻找根管口应注意寻找是否有远舌根,因为远舌根通常位置靠近远中边缘,若随室顶没揭全,易遗留。 2、根管预备应注意根尖孔大小。下颌磨牙通常远中根根尖孔较近中根根尖孔直径更大,行预备时应注意用K锉试探根尖孔预备是否恰当。 3、AH糊剂调拌的状态可能会影响根充的质量。本病例中,近中根、远中根均有不均匀高密度影,为相对较稠的AH糊剂。根充时应注意AH糊剂是否已固化,且应在根管中上下提拉主牙胶尖数次以使糊剂充分到达根尖处,且均匀分布于根管内。 4、若远中根根管粗大,可充填副尖以更好地封闭根尖段。 5、从该病例中可发现,远中根根尖孔开口应位于远中,不在根尖。因根尖孔的解剖位置差异大,根管治疗应充分利用根测仪测量准确的长度,不能仅凭X线片来判断。

发布于 15-11-28 23:54

15 个评论

发送