患者,女,70岁。主因左腰痛6月,恶性呕吐2周入院。病程中腰痛为间断性发作,无明显肉眼血尿,无发热,无波动性高血压.小便无异常发现。
实验室检查各项指标无明显异常。腹部超声提示左肾混合性包块,左肾结石;静脉肾盂造影延迟7、15、30和60 min,左肾始终未显影。CT平扫提示左肾区巨大肿块,考虑肿块来源于后腹膜,因患者年龄较大,其家人拒绝CT行增强扫描。临床拟诊肾细胞癌转入介入科,拟行介入治疗。
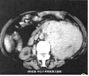
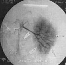
影像学表现:CT平扫,左肾区巨大、不规则形包块,其后内见片状低密度坏死灶,右内近边缘处另见2枚高密度影,肿块最大层面直径约13.2 cm×12.2 cm,周围结构受压移位,部分结构与肿块界限欠清。DSA提示:相当于左肾位置似见左肾动脉、左肾轮廓及其动脉的正常分支,未见明显肿瘤血管,腹主动脉其他部位未见明确动脉分支向“假肾影”供血。DSA诊断肾细胞癌证据小足,遂放弃介入治疗。左肾区肿块穿刺活检病理:小细胞性恶性肿瘤,考虑为恶性淋巴瘤,免疫组织化学染色CD20普遍阳性,支持B细胞淋巴瘤。行标准B细胞淋巴瘤化疗。



原发于肾脏的淋巴瘤比较少见,常是全身淋巴瘤的一部分,病理类型多为B细胞淋巴瘤。相对于其他影像学检查手段而言,CT是肾淋巴瘤患者的首选检查方法,CT平扫其成软组织密度,CT值为30~40 HU,增强扫描轻度强化,CT值为70~80 HU。肾淋巴瘤在CT上的表现主要分为以下5型:即多发肿物型、邻近病灶侵犯型、单发肿物型、肾周肿物型及肾弥漫增大型,亦有主张分为单发结节型、多发结节型,弥漫浸润型及后腹膜肿块浸润型等四型。由于奉例缺乏CT增强影像,无法对病灶强化情况,具体细节等进行描述,且CT平扫未见肾影明确显示,故根据各型特点,很难将本例归属于上述某一型。回顾性分析误诊原因有以下4点:①该例左肾肿块密度欠均匀,其右内近边缘处见两枚钙化灶,后内见片状低密度坏死灶。根据文献报道,肾肿块内出现钙化,一般考虑为肾细胞癌,而肾淋巴瘤病灶内一般无钙化②本例肿块CT检查没有得出正确诊断的最大原因是没有进行增强扫描,一般肾细胞癌明显强化且不均匀,而肾淋巴瘤强化轻微;③忽视了临床症状,一般肾细胞癌患者均有不同程度的肉眼血尿,而肾淋巴瘤患者一般无泌尿系症状;④忽视肾细胞癌常侵犯邻近血管,造成静脉内转移,而肾淋巴瘤对邻近血管侵犯不明显,主要为推移表现。因此,凡遇到肾区巨大软组织肿块,患者临床泌尿系症状不明显,CT平扫提示对周围血管无明显侵犯表现,均应建议行CT增强扫描,若表现为轻度强化,应首先考虑肾淋巴瘤诊断。