下载或打开 医联APP 查看完整评论
立即下载
打开APP
青年女性,急性病程,右面部斑块、结节、脓疱伴痛1周。无明显诱因起病,1周前出起为小丘疹,迅速发展变大成斑块,表面散在结节、脓疱,伴明显疼痛。外用“百多邦、立思丁”无明显效果。 妊娠7月余;“乙肝小三阳”15年余,肝功能正常。
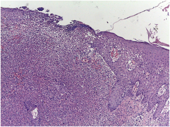
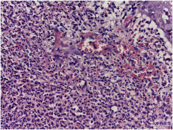
皮损:右面部可见分别4*5cm和1.5*1cm红色浸润性斑块,表面散在米粒至龙眼大小结节、脓疱。 辅助检查:初步诊断:面部皮疹性质待查:Sweet’s综合征;孢子丝菌病;淋巴瘤;其他?血常规白细胞及中性粒细胞比例升高,血沉增快;皮损分泌物镜检真菌阴性;皮肤病理:表皮局部溃破,棘细胞间海绵水肿明显,可见较多嗜中性粒细胞外渗入表皮;真皮浅层组织水肿,浅中层见大量嗜中性粒细胞浸润,其内可见破坏残留的毛囊上皮组织。符合Sweet’s综合征改变。



诊断:Sweet’s综合征 治疗:与糖皮质激素及非甾体类抗炎药治疗,局部预防感染。
讨论:Sweet综合征可分为经典型或特发型、妊娠相关型、药物相关型、恶性肿瘤相关型。本例患者妊娠及乙肝病史,需要特别注意排除恶性肿瘤相关型,妊娠相关型可能性较大,考虑该病有一定的自限性,患者以接近预产期,予局部注射糖皮质激素及止痛等对症处理,皮疹逐渐变小,待分娩后观察病情变化,必要时与系统用糖皮质激素。