下载或打开 医联APP 查看完整评论
立即下载
打开APP
主诉:双眼视物模糊2月余 病史:中年女性,慢性病程。2月前无明显诱因出现双眼视物模糊,当地医院MRI提示:右侧桥小脑角处异常信号,占位,脑膜瘤?胶质瘤?血管母细胞瘤?建议增强扫描。
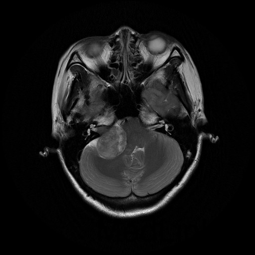
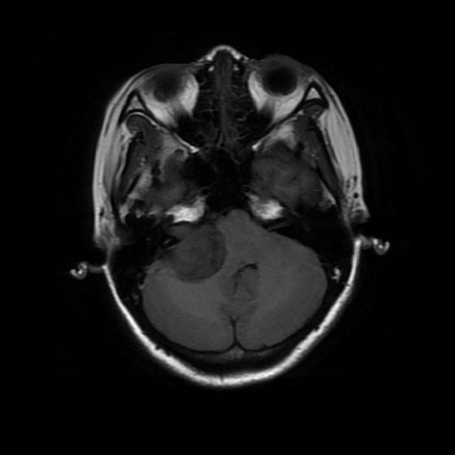
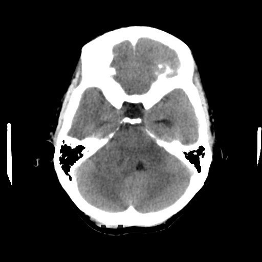
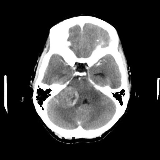
查体:神志清醒,查体合作。双眼视物模糊,眼球运动无明显异常。双侧瞳孔等大等圆,直径3mm,对光反射灵敏。 辅查:头部CT示:右侧桥小脑角区占位,考虑听神经瘤可能,并梗阻性脑积水。建议进一步MRI检查;头部MR示:右侧桥小脑角区占位,考虑为听神经瘤,并梗阻性脑积水;DTI示脑桥、桥臂及右侧桥小脑角白质纤维束受压移位。






这段:右侧听神经瘤 治疗:完善术前检查,于全麻下行显微镜下右侧乙状窦后入路桥小脑角占位病变切除术+脑室外引流+颅内压探头植入术,术后患者恢复良好,伤口已拆线,无明显红肿不适
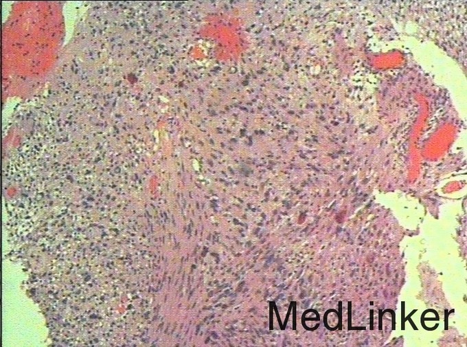
随访:术后病理结果提示:(右侧桥小脑角处肿物)肿瘤由梭形细胞构成,可见疏区及密切,部分细胞呈栅栏状排列,细胞有异型性,核分裂可见,间质有散在淋巴细胞浸润,结合免疫组化结果,符合神经鞘瘤。 讨论:听神经瘤是桥小脑区最常见的肿瘤,也是最常见的脑神经瘤,绝大多数病理类型为神经鞘瘤。下面结合本例影像学习一下其影像表现:首先就是部位,发生于桥小脑区的占位第一反应是听神经瘤,而且和岩骨是呈锐角相交,该征象可以和发生于该部位脑膜瘤鉴别。另外,肿瘤沿听神经长如,导致内听道扩大也是一个重要征象。增强扫描可见明显强化,这可以和发生于该部位的胆脂瘤鉴别。


