下载或打开 医联APP 查看完整评论
立即下载
打开APP
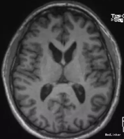
患者,男,39岁,主因“人格改变、不自主运动与进食困难”就诊
查体:进食性肌张力障碍、构音障碍,肢体肌张力障碍及舞蹈样动作。血清转氨酶及肌酸激酶水平升高。血涂片可见棘红细胞,肌肉活检提示肌病,影像学提示尾状核萎缩,遗传学检查发现复合杂合子新的VPS13A基因突变。



确诊为棘红细胞增多症。患者接受頦舌肌肉毒素注射治疗,进食与讲话症状明显改善。(NEUROLOGY)
总结了一下舞蹈症常见病因,供大家学习~~ 一、 以舞蹈样运动为主要症状的疾病 此类疾病的特点:1)多为遗传变性类疾病,可有家族史 2)除舞蹈样动作外,有自身特点 常见疾病:1)亨廷顿疾病 2)棘红细胞增多症 3)老年性舞蹈症 二、以舞蹈样运动为伴发症状的脑部疾病 此类疾病的特点:1)有脑部的相关疾病 2)原有疾病纠正后,舞蹈症状一般恢复较快 常见病因:1)感染性脑部疾病 2)脑部血管性疾病 3)脑干部位梗死性疾病 Benedikt综合征(红核综合征) 4)其他颅内疾病 三、以舞蹈样动作为伴发症状的系统性疾病 常见病因:1)营养不良性疾病 2)代谢障碍性疾病 3)内分泌功能性疾病 4)结缔组织病