下载或打开 医联APP 查看完整评论
立即下载
打开APP
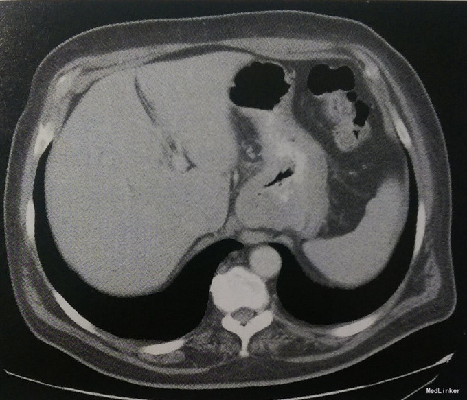
患者男性,62岁,有慢性消化不良史,近1年内体重下降近16kg。近来进食固体食物时出现轻度吞咽困难,感觉食物好像卡在咽喉末端。患者否认恶心、呕吐、腹痛或大便改变等症状。
体格检查: T37.1℃。BP137/84mmHg,P104次/分。头颅和五官:无黄疸,口咽部干净,无腺体肿大。心脏:正常心率,心律齐。肺部:听诊呼吸音清。腹部:肠鸣音正常,腹柔软,无触痛,无膨隆,无脏器肿大。四肢:无水肿及发绀,无杵状指(趾)。 实验室检查: 血常规:白细胞11100/μl,分类正常,血红蛋白10.4g/dl,MCV74fl,血小板456000/lμl。生化检查:正常。肝功能:正常。胸部X线检查:正常。腹部CT:沿胃大弯侧胃壁增厚,无局部淋巴结肿大或肝脏损害。内镜:胃窦部5.7cm×3.8cm肿物。内镜下活检病理学结果:近端胃腺癌。

诊断:胃腺癌 治疗:手术切除,术后放化疗
对于早期可切除的胃腺癌建议行外科手术切除,再辅以化放疗。在可切除的胃腺癌中,联合化放疗可使总体生存率显著提高。在手术中淋巴结清扫的最适范围还存在争议。