患者56岁中老年男性,因“左侧肢体乏力1.5小时”急诊入院。患者诉午饭后约13:30出现左下肢麻木乏力不适,无伴头晕头痛,无视物模糊、黑朦,无意识不清、跌倒。遂坐下休息,休息10min后可站起,无站立不稳。14:00出现左上肢乏力不适,但仍能左手环抱起孙子不致跌下。伴口干、头痛、心慌,无伴视物模糊、黑朦,无意识不清、跌倒。遂通知家属背着乘计程车急往当地医院,过程中出现左手抖动。令家属用力按压左下肢,但未觉痛感。于我院急查头颅CT未见明显出血灶,拟“脑梗塞”收入我科。患者近期精神可,食欲、睡眠一般,大小便正常,体重未见明显增减。 既往史:8月前体检示收缩压达170mmHg,未规律监测及服药;否认“糖尿病”、“冠心病”病史,否认“肝炎”、“结核”等传染病史,8月前外院诊断“脂肪肝”、“肝囊肿”;否认手术、外伤及药物过敏史,否认输血史,预防接种史不详。
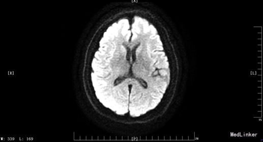
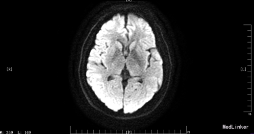
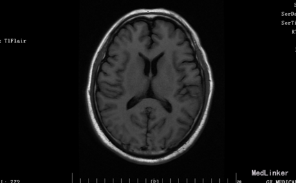
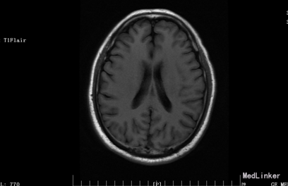
入院体检:T 36.9°C,P 87次/分,R 22次/分,BP 136/69mmHg。全身皮肤无黄染及出血点,全身浅表淋巴结未扪及肿大。双肺呼吸音清,未闻及干湿性罗音。心率87bpm,律齐,各瓣膜听诊区未闻及杂音。腹平,腹肌软,肝脾肋下未及,无压痛、反跳痛,肠鸣音正常。脊柱四肢无畸形,双下肢无水肿。神经系统:神清语晰,对答切题,记忆力、定向力、计算力正常,查体合作。双侧瞳孔等圆等大,直径约3mm,对光反射灵敏,双眼球活动自如,未见眼震。双侧额纹对称,双侧鼻唇沟对称,伸舌居中。四肢肌张力正常,左侧肢体肌力II级,指鼻试验、跟膝胫试验、闭目难立征未能配合检查。双侧腱反射对称存在,双侧巴氏征未引出。颈软,双侧克氏征、布氏征(-)。 辅助检查:生化:超敏C反应蛋白:2.6mg /l、乳酸脱氢酶(LDH):105U/L、甘油三酯(TG):2.32mmol/L、尿酸(URIC):416umol/L;同型半胱氨酸:14.3umol /l;D-二聚体定量:270ng /ml;糖化血红蛋白(HbA1c):5.1%;红细胞沉降率:3mm/h;人脂蛋白相关磷脂酶A2:378ng /ml;风湿十二项:(-); 胸部DR:主动脉硬化,双肺未见异常。心脏彩超:LVEF:66%。心内结构未见异常。 心内未见异常血流。 左室舒张功能降低。颈血管彩超:双侧颈总动脉、颈内动脉、颈外动脉、椎动脉未见异常。 双侧颈动脉、椎动脉血流速度正常。 急诊CT未见明显异常。 头颅MR:1、 双侧额叶软化灶,病灶周边少许胶质增生;2、MRA示未见明显异常。 头颅CTA:双侧颈内动脉虹吸段、双侧大脑中动脉、双侧大脑前动脉及其分支管壁尚规则,管腔通畅未见明显狭窄;右侧椎动脉颅内段管腔较左侧稍细小,余椎动脉、基底动脉及双侧大脑后动脉管腔未见明显变窄。大脑willis动脉环清晰显示,未见明显异常。 头颅CTV:大脑静脉系统上矢状窦、窦汇、横窦、乙状窦、直窦、大脑大静脉和颈内静脉管壁规则,管腔通畅未见狭窄、畸形等异常。 动态心电图示:1.窦性心动过缓;2.偶发室性早搏;3.偶发房性早搏;4.提示不完全性右束支阻滞;5.T波改变(心率快时);6.心率变异性:正常。 脑电图无异常。







入院诊断:脑梗塞 患者既往有血压高病史,无明显心肺功能障碍、肿瘤及凝血障碍等病史,急查血糖6.6mmol/L。查体:BP136/69mmHg。入院时NIHSS 5分。急诊头颅CT未见出血,现目前诊断:脑梗塞。发病时间在4.5小时内,有溶栓指征,无明显禁忌症,征得家属同意后予静脉rt-PA 溶栓治疗,溶栓过程平稳。溶栓后NIHSS 5分,但可见左上肢活动较前有所好转。 余治疗予抗血小板、调脂、改善循环、管理血压等相关治疗。
患者入院时血压不高,溶栓后立即行头颅MR,未见明显病灶。但患者体征尚存在,考虑可行头颅的薄层扫描或者改变B值。另外关于栓子的来源还有疑惑,颈动脉超声没看到动脉硬化、板块,TCD结果也正常。后来再回顾病史,患者发病的过程中有感到心慌,急诊生化血钾稍低,动态心电图报有窦性心动过缓、不完全性右束支阻滞,可考虑为心源性。另患者入院时出现左手抖动、头痛症状,为刺激性症状,但MR、CTA、CTV、脑电图未见异常。也是一个疑惑的地方,希望大家给予交流指正。患者一周后出院,左侧肢体肌力几乎恢复正常。