下载或打开 医联APP 查看完整评论
立即下载
打开APP
患者50岁男性,因“右桥小脑占位术后6年余,右侧肢体乏力反复发作1月余”入院。2009年因脑肿瘤在外院行肿瘤切除术,术后行去骨瓣减压术,当年9月份行颅骨修补术,术后遗留有右眼睑下垂,无视力障碍。余病史无特殊。
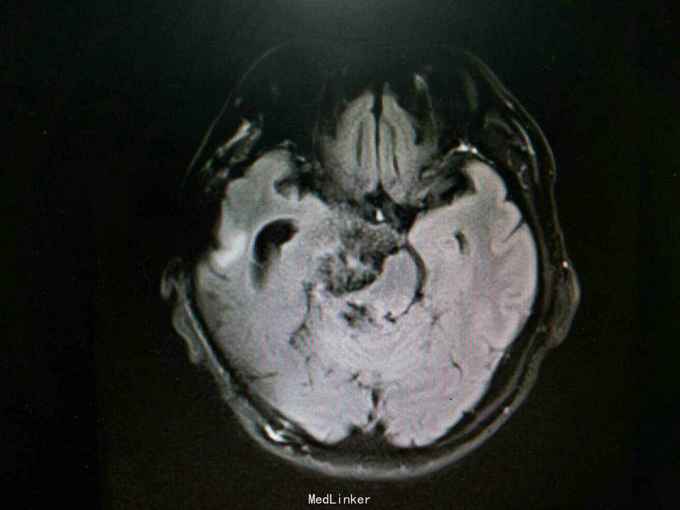
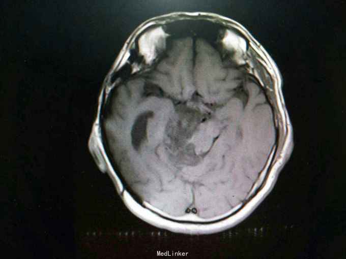
查体:生命体征平稳。神经系统检查:右侧眼睑下垂,左侧眼睑无下垂。肌力 右侧肢体肌力5-级,左侧肢体肌力正常。肌张力: 右上肢肌张力正常,右下肢肌张力正常;左上肢肌张力正常,左下肢肌张力正常。肌营养检查:四肢肌肉无萎缩。共济与平衡检查:正常。外院颅脑CT示右侧桥脑小脑角团片囊性低密度区,性质待定,蝶窦右后方局部骨质缺损代之稍低密度软组织肿块,考虑原肿瘤复发,颅骨呈术后改变,颅脑CT增强示颅内占位性病变(表皮样囊肿?)。入院后行颅脑MRI检查提示: 右侧颞骨岩尖-脚间池-右侧环池-右侧桥小脑角池见片状异常信号影,边界清,形态不规则,呈匍匐状分布,冠状位范围约47mm×29mm。相应右侧颞、脑干明显受压,脑干向左移位。第三脑室略向左移位。右侧额骨、颞骨骨皮质欠连续,呈术后改变。 考虑右侧颞骨岩尖-脚间池-右侧环池-右侧桥小脑角池表皮样囊肿。 右侧颅骨呈术后改变。






诊断:右中后颅窝表皮样囊肿 处理:幕上下联合入路右中后颅窝表皮样囊肿切除术
术后病理提示:(右侧CPA区肿物)表皮样囊肿。脑内表皮样囊肿属良性肿瘤,术后一般恢复良好,如肿瘤能大部切除,一般复发较晚,可延至数年甚至数十年。术后并发症的预防与处理是降低死亡率和致残率的关键环节。囊肿的手术死亡率在20世纪前半叶高达70%,近年来随着现代技术的进步,以及更愿意作囊肿次全切除,实际的手术死亡率较低。