打开应用

表皮样囊肿一例

左医师   四川大学华西医院
皮样囊肿 表皮样囊肿 皮样囊肿

主诉 病史

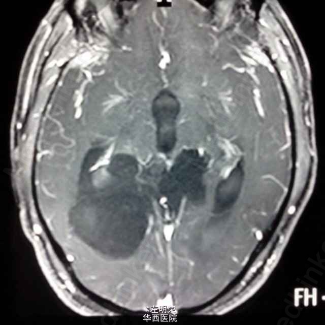
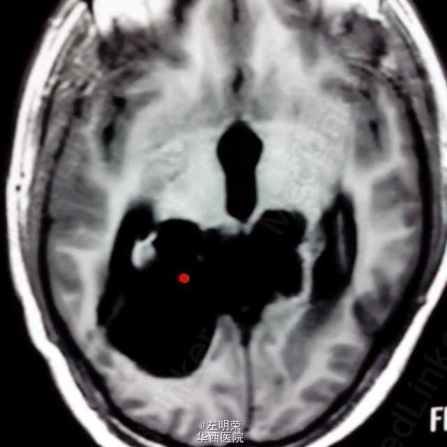
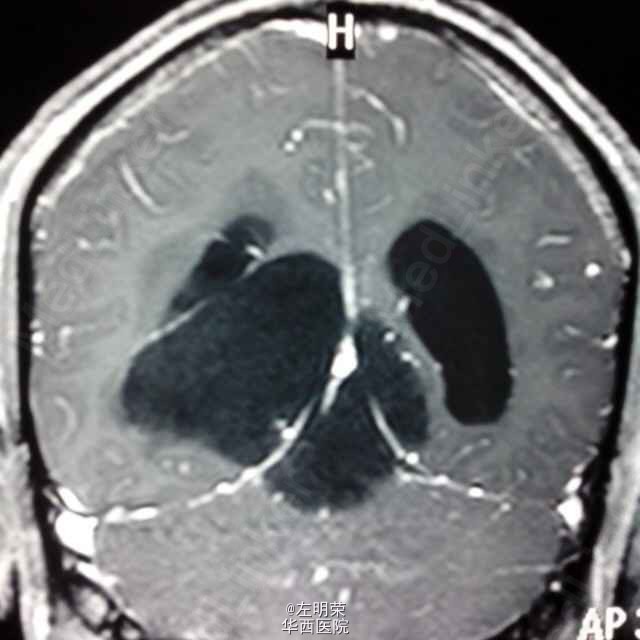
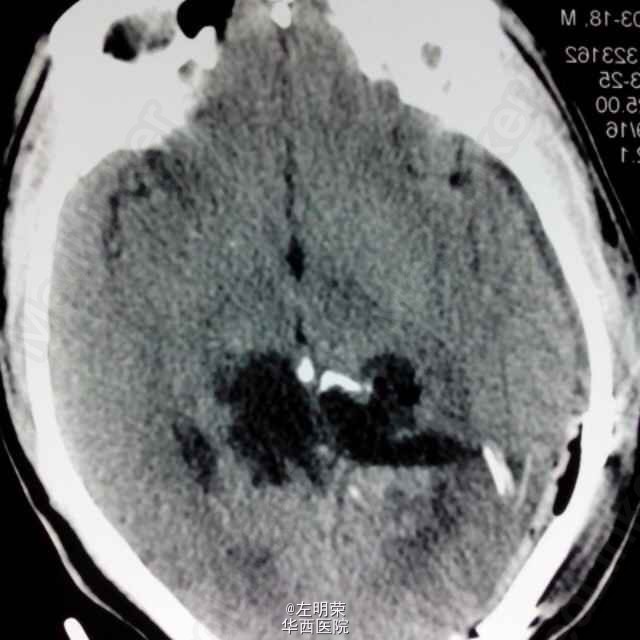
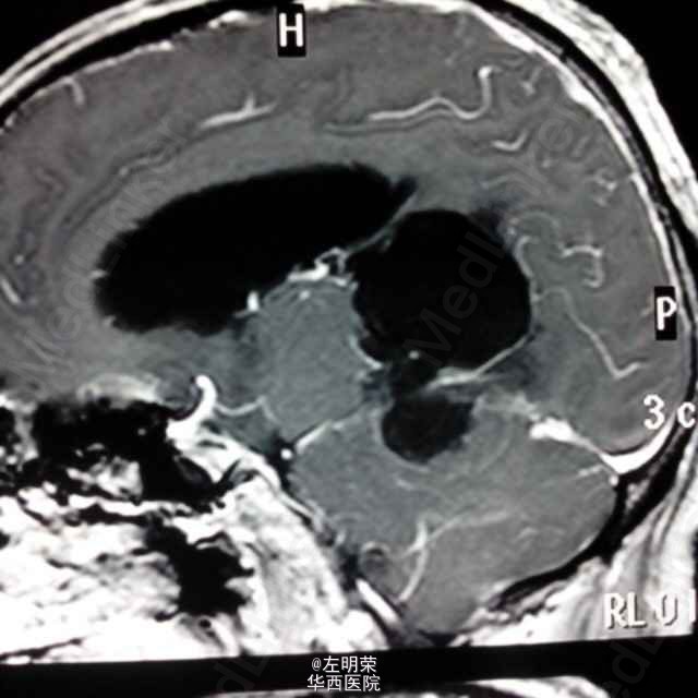
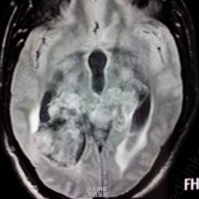
中年男性患者,“反复头痛一年”入院。查体未见明显异常;头部MRI示:松果体区占位,梗阻性脑积水。术中见病变位于右侧脑室三角区,病变范围广泛,侵及丘脑,脑干背侧,松果体区,呈白色珍珠状,质脆,切除过程中出血少,有白色坚韧包膜,予以全切,患者术后恢复良好;病理结果:松果体区表皮样囊肿。

发布于 15-03-30 22:01

2 个评论

发送