下载或打开 医联APP 查看完整评论
立即下载
打开APP
患者:女,18岁 主诉:体检发现右肺结节1月 病史:者1月前体检发现右肺结节1月,不伴咳嗽、胸闷气促、呼吸困难、胸痛、咯血,当时患者因高考未能及时治疗。近期体重无明显改变。
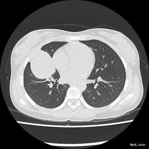
查体:一般情况良好,心肺腹均未见异常。 胸部X片示:右肺结节,性质待定,建议进一步检查。
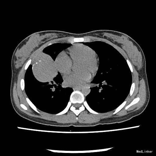
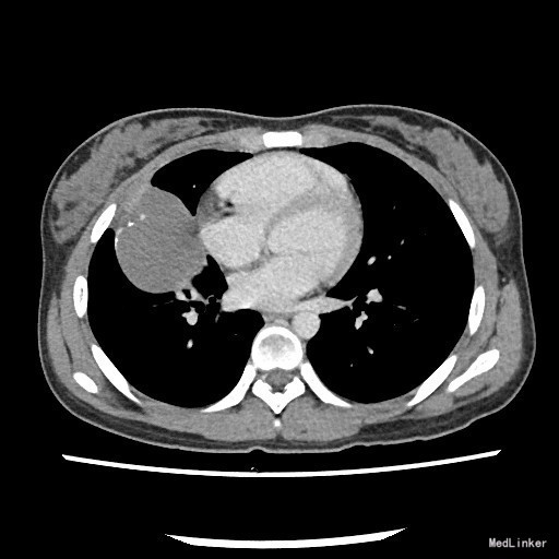
诊断:肺部肿物(查因?) 治疗:住院后完善相关检查,胸部螺旋CT提示:右肺中叶囊实性肿物,恶性肿瘤待排。排除手术禁忌症,遂于全麻下行胸腔镜辅助下右中下肺叶切除,淋巴结清扫术。术后病理示:粘液表皮样癌。 (右中叶开口肿物)纤维结缔组织内见较多表皮样细胞、粘液细胞及中间细胞,部分形成腺腔样结构,结合免疫组化及特殊染色,符合粘液表皮样癌。 免疫组化结果(②):CEA(+),CK14(灶性+),TTF-1(-),Vimentin(-),CK7(+),Ki-67(2%+),CK5/6(+),P63(+)。 特殊染色结果:PAS(+),d-PAS(+),粘液(+)。




1.粘液表皮样癌被认为是源于气管,大支气管小粘液腺的较为罕见的肺部恶性肿瘤之一. 2.可以发生与任何年龄,发病年龄最小是3岁,最大是78岁,近一半患者小于30岁.男女发病无差异.主要表现为大气道的刺激或阻塞症状及体征,咳嗽、反复肺炎、咯血为常见症状. 3.治疗:主要以手术治疗为主。