打开应用

胆脂瘤继发性三叉神经痛

张医师   中国医学科学院阜外医院
三叉神经痛 神经痛

主诉 病史

主诉:20岁,女性,右面部阵发性针刺样疼痛3年。 现病史:3年前无诱因出现右侧面部阵发性针刺样疼痛,有明显扳机点,无耳鸣,无听力下降,无视力下降,无头痛头晕,无走路不稳,无吞咽困难,大小便无异常。 既往史、婚育史、个人史、家族史无异常。

查体 辅查

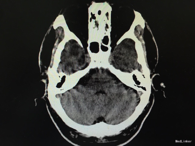
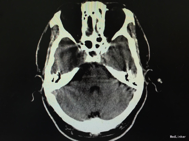
查体:右侧面部疼痛诱发有明显的扳机点,累及三叉神经1、2、3支;感觉无明显异常,四肢肌力、肌张力可;病理征(-)。 辅助检查:头颅CT未见桥脑角区明显占位。

诊断 处理

诊断:三叉神经痛 治疗:右桥小脑角区肿瘤切除+三叉神经显微血管减压术

随访 讨论

随访及讨论:术程顺利,术后患者恢复出院,术后病理回报为胆脂瘤,无听力减退等术后颅神经损伤并发症。一般胆脂瘤压迫导致的三叉神经痛,CT平扫显示不明显,且症状并不典型,常规行头颅MRI不现实,故对于这类由于继发性因素引起的三叉神经痛,术中可以诊断及去除病因。

发布于 15-11-22 13:28

0 个评论

暂无评论
发送