患者,女性,17岁,双下肢皮疹伴疼痛3月。
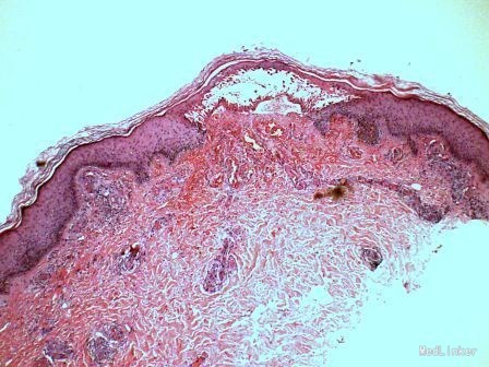
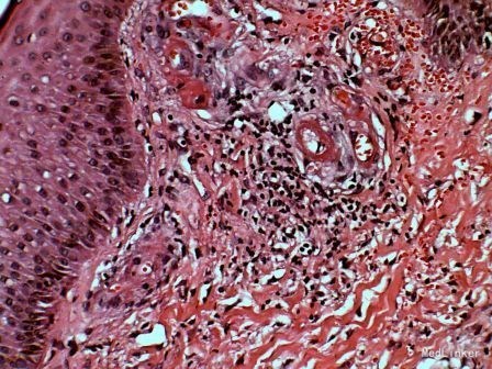
查体:双下肢多发淡红褐色可触性紫癜,踝部溃疡。 辅助检查:ANA 1:320, 颗粒型,pANCA阳性 补体C3下降 病理:血管周围为中性白细胞浸润,有核尘。伴有红细胞渗出,炎性细胞浸润在真皮上部,血管壁也有中性白细胞侵犯,血管有的模糊不清及坏死,血管周围及血管壁有纤维蛋白束的沉积,溃疡是由于血管坏死引起,同时可见含铁血黄素的沉积。


诊断:变应性血管炎 治疗:强的松,消炎痛
1.皮肤型变应性血管炎 本病仅累及皮肤,多发生在青壮年。一般有乏力,关节肌肉疼痛等症状,少数病例可有不规则的发热,但也可无上述症状。皮肤损害可为多形性,有红斑、结节、紫癜、风团、血疱、丘疹、坏死及溃疡等。两膝下为最常见,以两小腿下部及足背部皮损最多。较多的皮损开始的特征为紫癜样斑丘疹,压之不退色,是由于血管壁的炎症细胞浸润和渗出,故这种淤斑都是高起的可以触及的,乃是本病的特征。有的开始为皮下结节,如黄豆至蚕豆及小枣大小,淡红色有压痛。有的开始完全似紫癜样的皮损,有的皮损开始似丹毒样改变,有的似硬斑病样改变,有的似多形红斑样。在皮损发展过程中可伴有风团、丘疹等。由于炎症反应严重,在紫癜及紫癜性斑丘疹上发生血疱、坏死及溃疡,一部分结节损害也可发生溃疡伴疼痛。水肿以踝部及足背为重。午后较明显,并伴有两下肢酸胀无力。本病皮损有多种,但几乎都有紫癜或结节。中性多核白细胞外渗至周围组织时也可出现脓疱。皮损可发生在任何部位,如背部、上肢、臀部等处,呈对称分布。皮损有自觉疼痛、痒或烧灼感,有的无自觉症状,有压痛。皮损愈后留有色素沉着,如有溃疡愈后可有萎缩性 疤痕 。病变急性发作时,损害成批出现,分布广泛,伴小腿水肿,病情较重。损害慢性经过者,反复发作持续数月或数年。病变轻者2~4周可愈。有的皮损相互融合,并向四周扩展成为大片损害,在膝、肘及手部多见,似持久隆起性红斑表现。 2.系统型变应性血管炎本病多脏器受累,病情较重。由于脏器小血管特别是毛细血管后静脉受累,因此弥漫性渗出和出血灶多在脏器之内。脏器受累表现多为急性发病,通常有头痛、不规则发热、不适、乏力、关节及肌肉疼痛等症状。病程不一,轻重不同,若是一次接触抗原,约3~4周愈,若反复多次接触抗原,病情反复发作,病程持续数月或数年。本病预后取决于受累脏器和病变程度。 67%的患者发生多形性皮肤损害,但往往以可触及淤斑为多见。75%的患者有非特异性发热,约2/3的患者有关节痛及关节肿胀。病变可侵犯粘膜,发生鼻衄、咯血、便血。有1/3的患者肾脏受累,有蛋白尿血尿,严重肾功能 衰竭 是死亡的主要原因。侵犯肠道可有腹痛、脂肪痢、便血、急性 胆囊炎 等胃肠道症状。可有胰腺炎、 糖尿病 。胸部X线检查有 肺炎 表现及结节状阴影,胸膜炎或胸腔积液。可侵犯神经系统,如有头痛、复视、妄想、精神错乱,甚至有脑血栓形成和瘫痪,咽下困难,感觉和/或运动机能障碍等。心脏损害是心肌梗死、心律紊乱和心包炎。肾皮质局部缺血可能产生严重 高血压 。系统性血管炎最常见的眼部表现为巩膜外层炎及视网膜出血。副睾及 睾丸 的痛性肿胀可能是血管炎的一种表现。有人认为诊断系统性血管炎进行肾活检和直接免疫荧光试验常能帮助明确诊断。