下载或打开 医联APP 查看完整评论
立即下载
打开APP
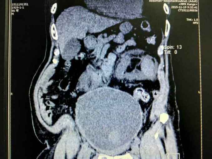
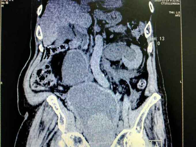
男性,87岁,进行性排尿困难10年,小便不能自解2天入院。无血尿,无发热、腰痛。一直口服藏药治疗前列腺增生症。既往无高血压、糖尿病。
腹部明显膨隆。耻骨上膀胱区扣浊。肾区无扣痛。尿常规少许白细胞。肌酐506,电解质正常。Hb116。









前列腺增生症 尿潴留 双肾积水 肾功能不全,膀胱结石,尿路感染,双肾多发囊肿。给予留置导尿,间断分次放尿后,出现肉眼血尿,持续膀胱冲洗,颜色较红,伴血凝块间断堵管。


下一步治疗方案 留置导尿多长时间? 手术时机?方式?