下载或打开 医联APP 查看完整评论
立即下载
打开APP
71岁男患,5年前即开始出现尿频,尿急。夜尿3-4次。排尿困难。无发热、无腰痛,无肉眼血尿。一直未与治疗。症状进行性加重。半月前患者排尿困难症状严重,尿滴沥。伴右腰部疼痛来我院就诊。
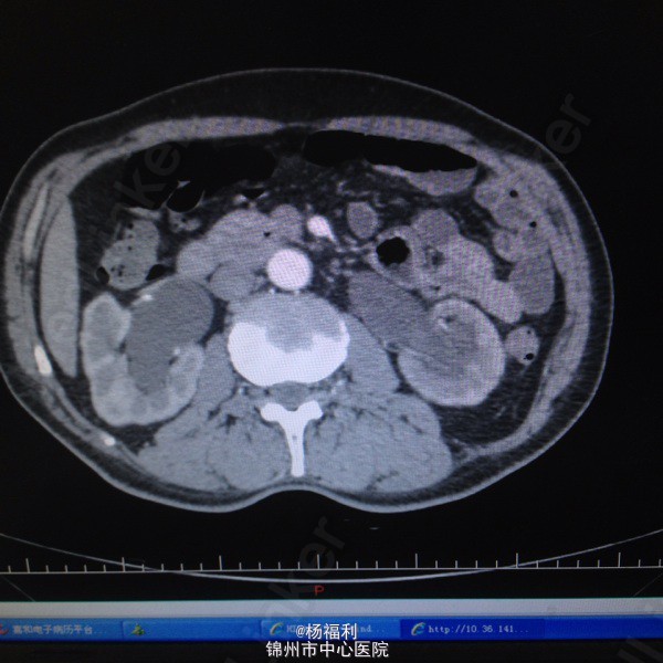
双肾区无叩击痛。双输尿管走形区无压痛,耻骨上区压痛。叩诊浊音。前列腺指诊前列腺增大,中央沟消失,质韧。未触及硬结及肿物。 彩超;双肾积水,前列腺增大突入膀胱,膀胱肌小梁形成。 ctu:前列腺增生。双侧肾盂及输尿管扩张,左肾多发小囊肿。 膀胱镜:前列腺增大突入膀胱,膀胱内多发小房小梁。 总psa:4.6ng/ml,比值:0.18。 肌酐:175umol/l。 尿常规:白细胞2+。



1、尿潴留2、前列腺增生症3、双肾及输尿管积水4、泌尿系感染。 给予患者留置尿管后择期行经尿道前列腺等离子电切术。 患者家里条件不太好,要求给予快速手术。未等肌酐及积水好转后即给予手术。
术后病理良性。拔除尿管后排尿良好。 建议患者术后半月复查泌尿系彩超查看积水情况。 此类患者必须等肌酐及积水完全恢复后手术吗?留置尿管多长时间积水可以消失? 此种积水术后可以完全消失吗 ?术后排尿无阻力情况下多久可以完全消失?欢迎大家讨论。让患者多久复查彩超好些?