下载或打开 医联APP 查看完整评论
立即下载
打开APP
打开应用
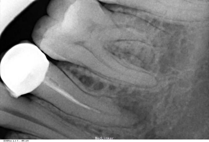
左下后牙咬物不适
武汉用户
武汉南湖天姿口腔
主诉 病史
左下后牙二年前治疗过,并已冠修复,近日咬硬物不适
查体 辅查
35烤瓷冠,合面露金,轻微叩痛,牙龈无异常
随访 讨论
根管再治疗,冠修复
发布于 15-11-19 18:40
医联推荐你看
左下后牙干髓术后咬物不适。
左下后牙咬合不适
左下后牙咬物痛数日
共
0
个评论
暂无评论
发送
0