下载或打开 医联APP 查看完整评论
立即下载
打开APP
打开应用
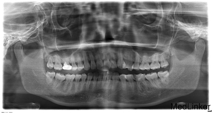
左下后牙咬物痛数日
武汉用户
武汉南湖天姿口腔
主诉 病史
自诉左下后牙多年前曾治疗过,现咬物痛求诊
查体 辅查
36颌面深大龋洞,冷测无反应,叩痛(++),无松动,根尖部扪诊疼痛
诊断 处理
36慢性根尖周炎
发布于 15-11-11 19:54
医联推荐你看
左下后牙咬合痛
左下后牙咬合痛
左下后牙咬物不适
共
0
个评论
暂无评论
发送
0