下载或打开 医联APP 查看完整评论
立即下载
打开APP
主诉:左下后牙咬物隐痛一月余。 现病史:患牙数年前于外院行“烂神经”治疗,近一月余自觉咬物酸痛不适就诊。 既往史:无特殊。
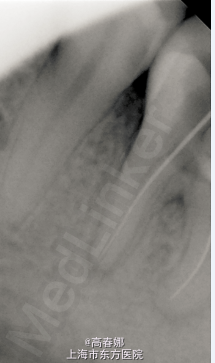
检查:36充填物完好,扣诊(+),无松动,牙龈无明显红肿,冷诊(-)。 X线示:髓腔内高密度阻射影像,根尖区阴影。
诊断:36慢性根尖周炎 处理: 一诊:36去除牙合面积髓腔内原充填物,探及近中颊舌根及远中根三根管,拔除坏死牙髓,近中两根管细小,10#及15#根管扩大锉疏通根管,双氧水及生理盐水交替冲洗根管,干燥,髓腔内置FC棉球,暂封,告常规医嘱,肿痛随诊。 二诊:一周后复诊,无不适主诉。查36扣诊(-),牙龈无红肿,FC棉球无臭味,无明显渗出。36去除暂封及FC棉球,手用PROTAPER SX锉预备根管中上1/3,根管长度测量,WAVE-ONE完成根管预备,预备过程中双氧水及生理盐水交替冲洗根管,干燥,髓腔内置FC棉球,暂封,告常规医嘱,肿痛随诊。 三诊:一周后复诊,无不适主诉。查36扣诊(-),牙龈无红肿,FC棉球无臭味,无明显渗出。36去除暂封及FC棉球,根充糊剂+大锥度牙胶尖侧压充填,X线示适充,锌基,树脂充填,调合,抛光,告常规医嘱。建议观察一至二周全冠修复。



随访:两周后复诊,患牙叩诊无不适,牙龈无红肿。 讨论:干髓术治疗失败,常发生根尖周炎。同时干髓术,随着时间的推移会导致根管钙化,造成根管细小,严重者导致根管闭锁,给根管治疗带来一定的难度。