33岁女性,主因“检查发现盆腔囊性肿物1个月”入院。 患者9年前年因“双侧卵巢交界性乳头状囊腺瘤,局灶交界性”于我院行“左附件切除+右侧卵巢肿物核除术”,3年前再次发现盆腔肿物,行卵巢交界性肿瘤分期术(保留生育功能),术后石蜡病理回报:(右)卵巢交界性浆液性乳头状囊腺瘤,慢性阑尾炎,左、右盆腔淋巴结反应性增生(0/9,0/4)。患者1个月前于我院门诊复查超声:子宫左后方见11.0*7.9*8.7cm囊性肿物,收入院。
妇科检查:外阴发育正常,阴道畅,粘膜无充血,分泌物量中、色白,无异味,宫颈稍大,光滑,接触性出血(-)。子宫前位,常大,子宫后方可触及一直径约13cm包块,活动度欠佳,双附件区未触及明显异常 辅助检查:盆腔超声:子宫前倾位,大小约8.2*4.7*1.7cm,子宫内膜厚约0.4cm,宫区未见明显占位性病变。双卵巢未显示。:子宫左后方见11.0*7.9*8.7cm囊性肿物,边界清,形态不规整,内呈液性,囊内见分隔,部分囊腔内伴密集细小点状回声,部分囊腔附壁见乳头状突起,较大者大小约3.9*2.3cm,其内可检出血流信号,CA125:479.3U/ml,CA199:78.27U/ml。 全腹增强CT:肝脏形态饱满,左右叶比例大致正常,肝实质弥漫性密度减低,低于肝内血管密度。膀胱充盈不佳,受压前移,膀胱壁光滑,未见明显增厚,盆腔内见较大的囊实性占位,其内见较大分隔影,大小约8.5*8.0cm,增强扫描可见片状强化影,分隔影强化,子宫不大,子宫受压前移,直肠壁不厚,双侧腹股沟见多发淋巴结影,部分增大。印象:盆腔内囊实性占位,考虑卵巢来源的恶性病变。重度脂肪肝,双侧腹股沟多发淋巴结影,部分增大。 CA125:426.1U/ml,CA199:58.7U/ml,CEA:1.3ng/ml。
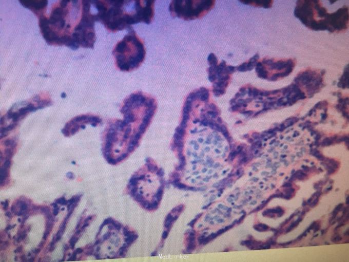
诊断 : 卵巢交界性囊腺瘤复发 治疗:探查见:盆腹腔无积液,腹膜光滑,胃、肝表面光滑,未及大网膜,常规表面光滑,子宫常大、表面光滑,左附件缺如,右卵巢来源囊实混合性肿物与子宫后壁、直肠、乙状结肠及盆底腹膜致密粘连,未见正常卵巢组织,右侧输卵管与周围粘连。行右附件切除术。术中冰冻回报乳头状囊腺瘤,部分交界性。尊重患者及家属选择,坚决要求保留子宫。
讨论:该患者年轻,尚未生育,且有极强的生育要求,因卵巢交界瘤复发,已行2次手术,一侧附件切除,此次另一侧卵巢再次复发。向患者及家属交待病情,子宫未见异常,患者生育要求强烈,拟行患侧附件切除保留子宫。若有机会再行借卵生育。
