下载或打开 医联APP 查看完整评论
立即下载
打开APP
打开应用
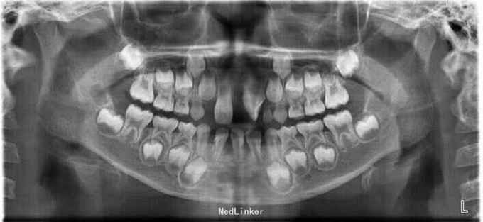
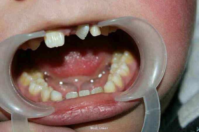
儿童矫正一例
抚州用户
抚州市百合口腔门诊
主诉 病史
患者,男,10岁,矫正牙齿正常
发布于 15-11-14 11:36
医联推荐你看
儿童矫正
矫正一例
儿童牙齿矫正
共
0
个评论
暂无评论
发送
0