下载或打开 医联APP 查看完整评论
立即下载
打开APP
打开应用
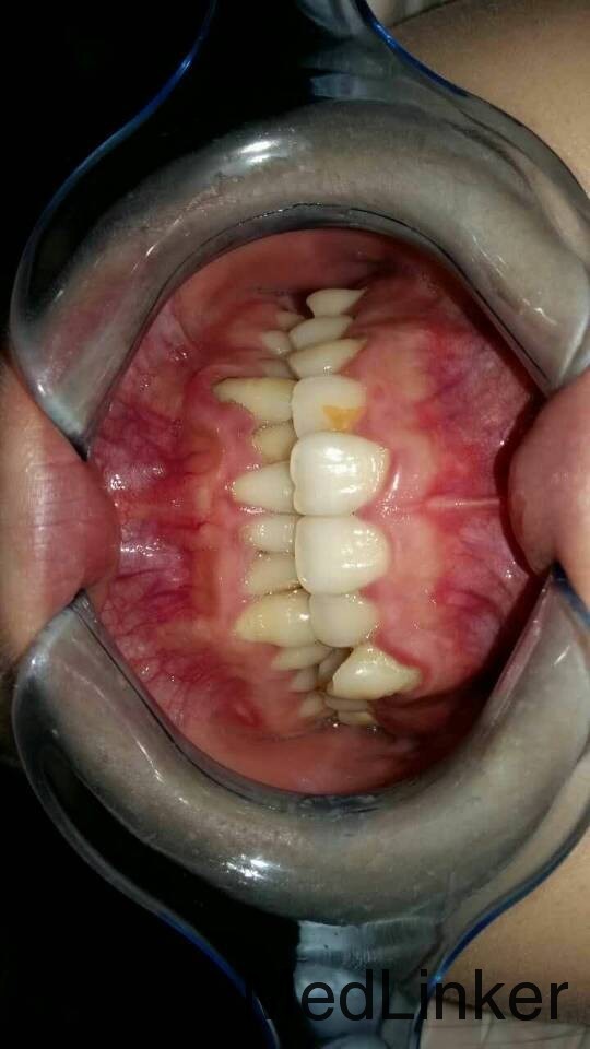
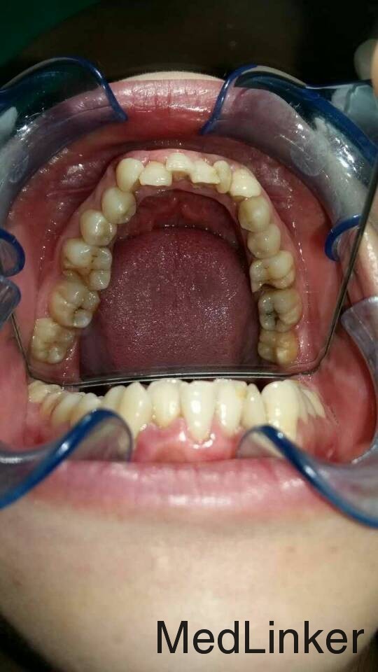
矫正一例
福兴用户
福兴牙科
主诉 病史
女,15岁,要求矫正
发布于 15-10-22 19:43
医联推荐你看
矫正一例
矫正一例
矫正一例
共
2
个评论
查看更多评论
发送
0