下载或打开 医联APP 查看完整评论
立即下载
打开APP
打开应用
儿童牙齿矫正
上海用户
上海松柏口腔门诊部
主诉 病史
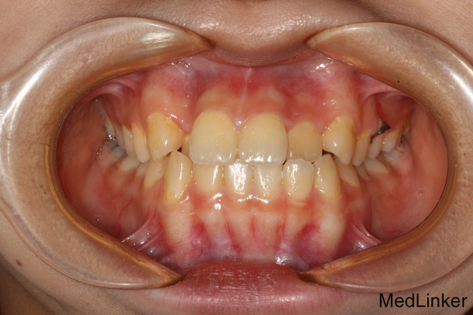
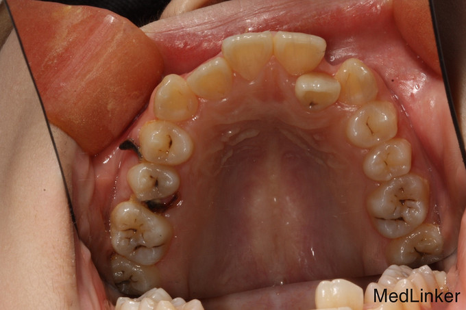
14岁儿童,因牙齿生长缺陷牙列不齐,影响美观需矫正。
发布于 15-10-28 16:26
医联推荐你看
牙齿矫正
牙齿矫正
儿童牙齿矫正
共
0
个评论
暂无评论
发送
0