下载或打开 医联APP 查看完整评论
立即下载
打开APP
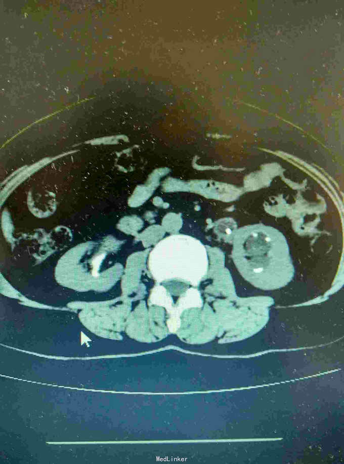
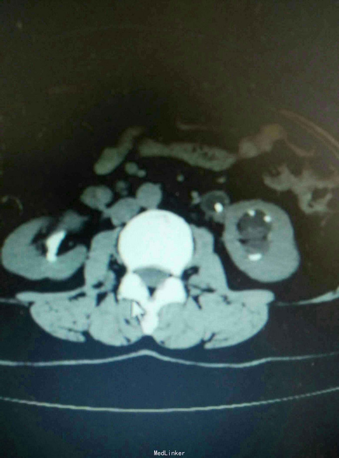
患者因左侧URL术后残留结石1月入院。 病史:患者一月前因左输尿管结石于我院行左侧URL术,经治后左输尿管下段结石残留,予行残留结石处理及拔出左侧D-J管再次入院。 患者曾因双肾及输尿管结石在多家医院多次行输尿管镜手术,体外冲击波碎石术治疗,术后排石效果欠佳,行输尿管镜探查发现输尿管多段狭窄并息肉增生。




诊断:1双肾多发结石2留置左侧D- J管3左输尿管下段结石
患者双侧输尿管狭窄并息肉增生,且肾内结石生长较快,经治后残留结石不易排净。由于多次手术治疗效果均不满意,对治疗积极性较低。各位有没有什么好的方法应对息肉及狭窄?