打开应用

髋关节假体周围骨折

曹医师   泉州市正骨医院
骨折

主诉 病史

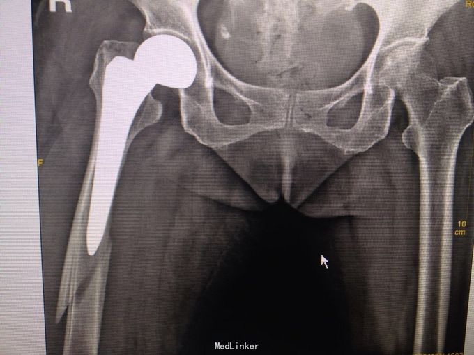
患者84岁女性,4周前因右股骨颈骨折行人工股骨头置换术,术顺,恢复佳,4天前摔倒,致右大腿肿痛,立行不能

查体 辅查

右髋部手术瘢痕,无破皮出血及骨质外露,右股骨中段压痛,右股骨纵向叩痛阳性,末端血运感觉好。 X线提示右股骨中段骨折,上段见人工股骨头置换术后,

诊断 处理

右股骨头置换术后股骨假体周围骨折(B3) 行右人工股骨头置换术后假体周围骨折切开复位记忆合金钢板+钛缆绑带固定术

随访 讨论

术后3个月随访效果佳

发布于 15-11-10 11:46

11 个评论

发送