下载或打开 医联APP 查看完整评论
立即下载
打开APP
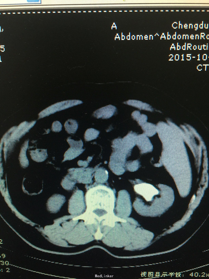
患者男,59岁,因检查发现左肾巨大铸型结石3天入院 病史:患者检查发现左肾结石,无发热,无血尿,无腰痛,食欲,睡眠均正常。


查体:双肾区无叩痛,输尿管走形区无叩痛,耻骨上膀胱区无叩浊。

诊断考虑左肾铸型结石。 处理:经皮肾球囊扩张,钬激光加气压弹导碎石,手术顺利,术中术后出血少,术后复查未见结石残留。患者痊愈出院。

随着输尿管软镜手术的不断成熟,经皮肾碎石术量不断减少,但对于巨大铸型结石,经皮肾清石率明显高于输尿管软镜,尤其对于大通道手术,我科随访并未见明显出血增加,住院时间增加等。