下载或打开 医联APP 查看完整评论
立即下载
打开APP
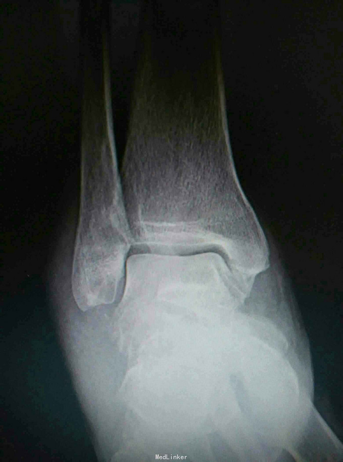
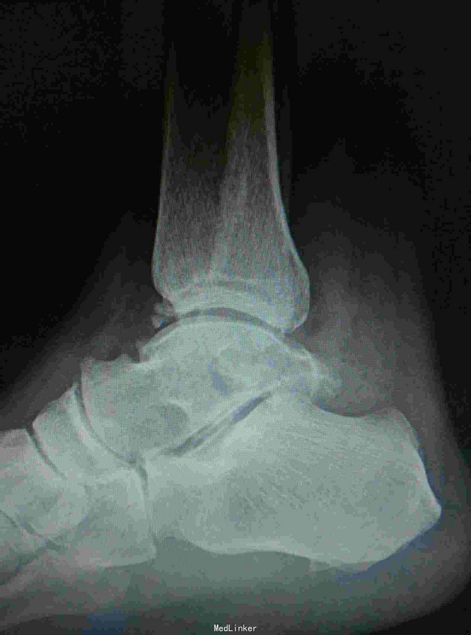
患者,男,45岁,车祸伤致右踝部肿痛,活动受限2小时入院
入院查体见局部肿胀,予完善影像学检查,




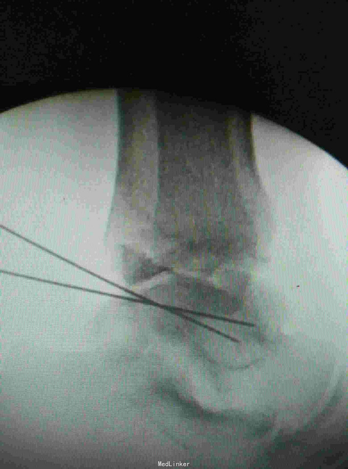
诊断是右距骨粉碎性骨折。给予行内踝截骨显露骨折端进行复位,采用Herbert钉进行固定。




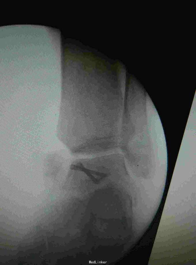
术后复查X线片提示骨折端完全复位,内固定固定在位良好。 讨论:距骨骨折的主要并发症是坏死,骨不愈合等,但近年来随着对其认识的不断明确,治疗比较规范,积极的进行切开复位,并行坚强固定,近年的研究报告提示距骨的坏死率是不断在下降的,当然前提是进行有效复位并坚强固定。

