打开应用

距骨骨折采用外踝截骨入路显露固定手术

邱医师   泉州市正骨医院
骨折 距骨骨折

主诉 病史

患者,男,27岁,高处坠落致左踝部肿痛,活动受限

查体 辅查

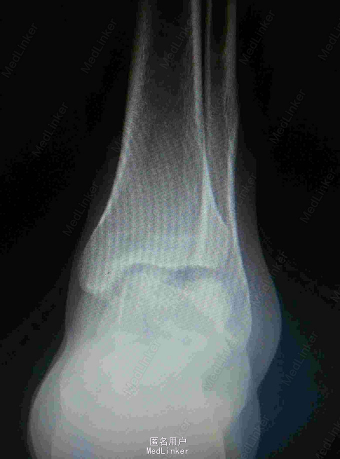
完善X线片及CT扫描检查

诊断 处理

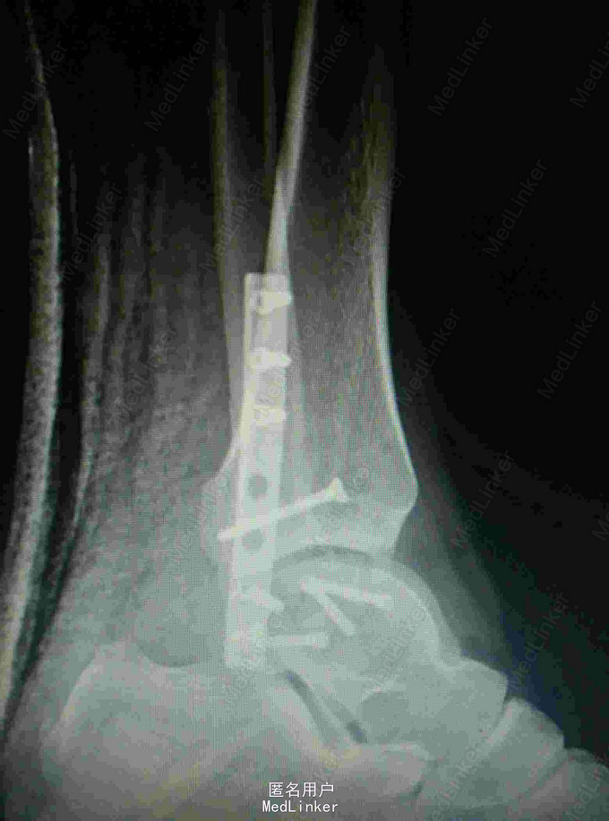
行外踝截骨入路显露复位螺钉固定术

随访 讨论

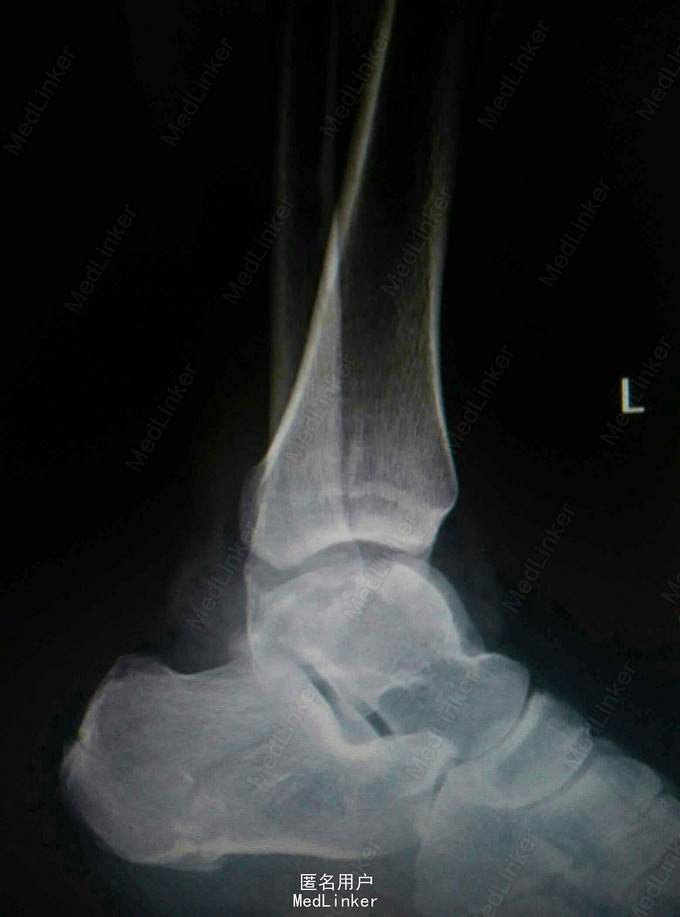
术后功能好,体表像,复查X线片

发布于 15-09-24 20:52

0 个评论

暂无评论
发送