患者,男,55岁,因左颌面部反复隆起肿胀10年,加重伴左眼胀痛20 d,于2014年6月17日入院。患者10年前无明显诱因出现左侧颌面部肿胀、隆起,无鼻塞、流涕,无明显头痛及面部疼痛麻木感。5年前曾于外院诊断为左侧上颌窦囊肿,局部麻醉下行左侧上颌窦根治术。术后半年复发,症状加重时行上颌窦穿刺,抽出褐色囊液后面部隆起压迫症状可减轻。近20天来患者因面部肿胀加重,伴左眼眶胀痛,来我院就诊。
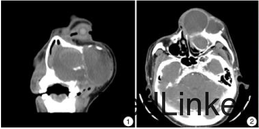
入院查体:左侧鼻背及颌面部明显隆起,触之波动感;鼻骨及鼻腔外侧壁受压变形,左鼻腔狭窄,左侧硬腭局部膨隆凸起,左侧上列尖牙齿龈增生,眼球活动不受限,无明显复视及视力下降。增强CT扫描见左侧牙槽骨、上颌骨团状异常密度影,呈多囊改变,可见分隔,内部见液性平面;囊壁可见钙化,增强后可见强化,内部未见强化;左侧上颌窦窦腔明显受压变形,病变累及左眶内侧壁、鼻腔外侧壁及左侧硬腭,向外累及颞下窝(图1、2)。入院后完善检查,经上颌窦穿刺抽出暗褐色液体约80 ml,诊断为左上颌骨牙源性囊肿。


于全身麻醉下行肿物扩大切除及左上颌骨部分切除术。术后病理诊断为左上颌骨牙本质生成性影细胞瘤。
DGCT是一种罕见的牙源性肿瘤,临床上多表现为实质性肿瘤,其病理特征为成熟的结缔组织中含有牙源性上皮岛,其中部分上皮细胞转变为不同发育阶段的影细胞,并可见发育不良的牙本质形成。根据DGCT发生部位不同分为骨内型和骨外型两种,前者来源于上颌骨或下颌骨,临床患者多为此型;后者来源于牙龈,比较罕见。DGCT生物学特性上类似成釉细胞瘤,具有侵袭性强,易复发的特点。多次复发易恶变,手术切除是治疗的主要方法。首次正确治疗对减少该病复发及恶变尤为关键。一旦病理确诊需对肿物行扩大范围切除,包括颌骨的部分切除,颌骨次全切除等。另外,术后患者应坚持较长时间的随访观察。doi:10.13201/j.issn.1001-1781.2015.08.027