下载或打开 医联APP 查看完整评论
立即下载
打开APP
打开应用
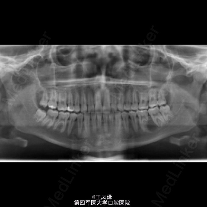
罕见左侧下颌骨牙本质生成性影细胞瘤一例
王医师
空军军医大学口腔医学院
主诉 病史
患者,女,20岁,自诉左侧下颌磨牙区疼痛不适,不能咀嚼来诊
发布于 15-01-13 15:50
医联推荐你看
深龋致修复性牙本质生成一例
以巨大囊肿为表现的牙本质生成性影细胞瘤
一例罕见颗粒细胞瘤
共
0
个评论
暂无评论
发送
0