打开应用

隐秘的肾占位。

蒋医师   中国医学科学院阜外医院

主诉 病史

主诉:男性,74岁,体检发现左肾占位1月。 现病史:1月前行泌尿系B超发现肾占位,无腰痛、血尿。余无特殊。 既往史、个人史、婚育史、家族史无特殊。

查体 辅查

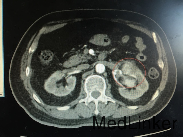
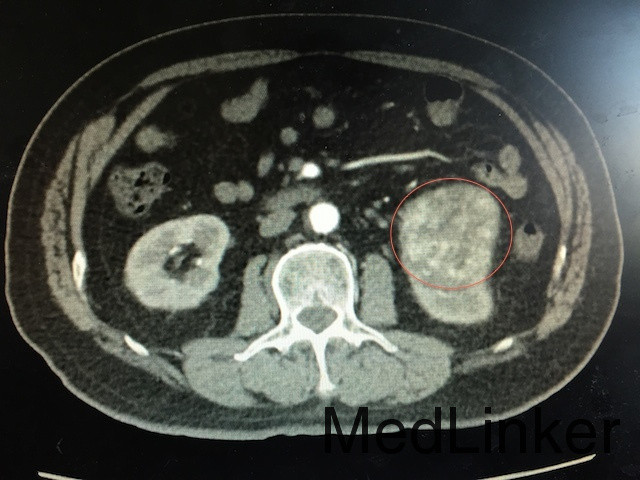
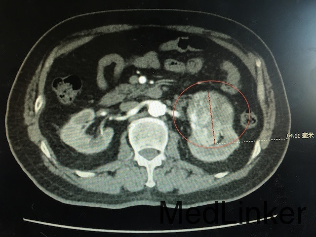
查体:左肾区叩痛可疑阳性 辅助检查:泌尿系CT平扫+强化如下图所示:左肾下极可见软组织密度团块影,突出肾轮廓并累及肾窦,大小约为6.6*6.1*5.7cm,动脉期呈不均匀强化,可见左肾动脉分支血供。

诊断 处理

诊断:肾占位(肾恶习肿瘤可能性大) 治疗:肾癌根治术

随访 讨论

随访:肾及肾周包膜切除,病理回报为肾透明细胞癌 讨论:肾恶性肿瘤主要与肾错构瘤鉴别,后者B超可见脂肪密度高回声,CT平扫为脂肪密度,CT增强强化比肾恶性肿瘤更明显。

发布于 15-10-30 23:56

1 个评论

发送