患者男,75岁,主因反复气促4个月,加重伴肝区疼痛5天入院。 患者于4个月前无明显诱因出现活动后气促,伴有咳嗽、咳痰,当时无胸痛、心悸、恶心、呕吐、胸闷等表现,在我科住院治疗,CT可见右肺下叶背段占位及肝脏占位,考虑为“肺癌?肝转移待排”,给予抗感染及对症治疗后患者气促、咳痰好转出院。3个月前在广医一附院就诊,行肺肿物穿刺活检提示非角化性鳞癌,考虑诊断为“右下肺鳞癌”,给予止痛对症治疗后出院。3个月来仍间断活动后气促,步行数米需休息,休息后可缓解。5天前无明显诱因出现气促加重,静息时仍感气促,呼吸增快,伴有肝区疼痛不适,胃纳欠佳,无胸闷、心悸、头晕、头痛,无身目黄染、尿黄、腹胀、恶心、呕吐,今为进一步治疗来我院就诊,门诊以“右下肺鳞癌伴肝转移”收入院。自发病以来,病人精神状态一般,体力情况很差,食欲食量一般,睡眠情况一般,体重减轻4kg,大便正常,小便正常。 既往史:高血压病史10年,规则服用卡托普利+硝苯地平,血压控制在120/70mmHg左右。否认肝炎、结核、传染病史,否认糖尿病史,否认手术、外伤史,否认输血史、否认食物、药物过敏史,预防接种史不详。 个人史:生于广西省贺州市,久居本地,无疫区、疫情、疫水接触史,吸烟数十年,每天一包,已戒8年。无饮酒史。 婚姻史:25岁结婚,配偶健在,育有3子,子女健在。 家族史:否认家族性遗传病史,否认家族性肿瘤病史。
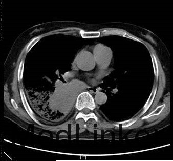
入院情况:入院查体:体温:36.0℃,脉搏:87次/分,呼吸:18次/分,血压:140/78mmHg。发育正常,营养良好,急性面容,表情痛苦,被动体位,神志清楚,精神状态较差,查体合作。呼吸规整,左肺呼吸音粗,右侧中下肺呼吸音减低,左侧肺底未闻及湿性罗音,无胸膜摩擦音。心前区无隆起,心尖搏动未见异常,心浊音界未见异常,心率87次/分,律齐,各瓣膜听诊区未闻及病理性杂音,无心包摩擦音。腹平坦,无腹壁静脉曲张,腹部柔软,无压痛、反跳痛,腹部无包块。肝脏肋下未触及,脾脏肋下未触及,Murphy氏征阴性,肾区无叩击痛,有移动性浊音阳性。 广州医学院一附院:头颅MRI平扫+增强:双侧额叶、半卵圆中心、放射冠多发缺血灶,侧脑室外周脑白质脱髓鞘改变,头颅MRI未见明确转移灶。胸部+上腹部增强CT:右下肺背段肿物,考虑肺癌可能性大,并右肺门淋巴结转移,右下肺阻塞性炎症,肝S5-S7段多发稍低密度结节,考虑转移可能性大。 2015-10-26 血常规乙+CRP:CRP<5.0mg/L;WBC9.910E9/L;NEU8.4810E9/L;LYM0.7510E9/L;NEU%85.6%;LYM%7.6%;RBC3.4910E12/L;HGB115G/L;HCT34.7%;PLT12910E9/L;2015-10-26 血气组合(乳酸):pH7.42;pCO245.5mmHg;pO275mmHg;Na142mmol/L;K3.6mmol/L;Lac5mmol/L;HCO3-(P)29.1mmol/L;ABE4.5mmol/L;sO295%;2015-10-26 凝血四项+血浆D-二聚体(免疫学方法):PT15.48秒;Fib1.27g/L;D-Dimer14500ug/L。2015-10-27 B型钠尿肽前体(PRO-BNP)测定+嘉禾心肌酶组+血清肌钙蛋白Ⅰ(cTnI;免疫学方法):CK-MB5μg/L;cTnI<0.010μg/L;PRO-BNP<70ng/L;AST115U/L;CK344U/L;LDH4583U/L;2015-10-27 凝血四项+血浆D-二聚体(免疫学方法):PT14.66秒;PTA80%;INR1.15;TT17.3秒;APTT33秒;Fib2.12g/L;D-Dimer5670ug/L;2015-10-27 肝功一组:T Bili31.48umol/L;D Bili13.94umol/L;I Bili17.54计算值;T PROT60g/L;ALB36g/L;GLB24.00g/L;ALT74U/L;AST117U/L;ChE3.88KU/L;2015-10-27 血常规乙+CRP:CRP11.16mg/L;hsCRP>5.0mg/L;WBC10.2510E9/L;NEU8.1910E9/L;LYM0.9710E9/L;RBC4.0910E12/L;HGB132G/L;PLT13210E9/L;2015-10-27 血气组合(乳酸):pH7.47;pCO245.8mmHg;pO266mmHg;Na137mmol/L;K3.9mmol/L;Ca1.07mmol/L;Cl93mmol/L;Lac3mmol/L;HCO3-(P)33.1mmol/L;ABE8.5mmol/L;B超:双侧股动脉粥样硬化并多发斑块形成。余双下肢上述动脉、上述静脉未见异常。心内结构未见异常。CDFI心内未见异常血流。左室舒张功能减低。CT:对比2015-10-10CT:1、右肺下叶背段占位,考虑肺癌伴纵隔及右肺门淋巴结转移,病灶较前略增大;2、考虑右肺下叶阻塞性肺炎;3、考虑肺气肿、右侧少量胸腔积液。4、主动脉硬化。5、肝内弥漫斑片状及结节状低密度灶,考虑转移。



入院诊断:1.右下肺鳞癌伴右肺门、肝转移2.慢性阻塞性肺疾病3.病毒性肝炎(乙型)慢性(轻度)4.高血压病(1级,高危)5.前列腺增生 诊疗经过:入院后完善相关检查,予抗感染、化痰、平喘以及对症支持治疗,患者仍间中有喘息。 目前诊断:1.右下肺鳞癌伴右肺门、肝转移2.慢性阻塞性肺疾病3.病毒性肝炎(乙型)慢性(轻度)4.高血压病(1级,高危)5.前列腺增生。
结合患者病史、体征、检查结果,目前诊断1.右下肺鳞癌伴右肺门、肝转移2.慢性阻塞性肺疾病3.病毒性肝炎(乙型)慢性(轻度)4.高血压病(1级,高危)5.前列腺增生。1)患者目前仍气促,双肺干啰音,考虑肿瘤原发病、COPD相关,不排除合并感染可能,完善炎症指标检查,必要时予抗感染治疗(患者诉头孢过敏史),继续予平喘、解痉、祛痰、抗凝治疗;2)患者血气提示乳酸明显升高,目前口服恩替卡韦抗病毒治疗,予复查肌酶检查,注意考虑低氧血症、循环灌注不足、肺栓塞等因素;3)患者转入时全身浮肿明显,予利尿处理后浮肿减轻,但双下肢不等大,予完善心脏B超了解心功情况,双下肢血管B超了解动静脉情况,继续予调整出入量,注意电解质平衡,密切观察病情变化。 讨论:如何治疗肺癌合并感染。